Merinding! Dokter Temukan Banyak Belatung Bersarang di Telinga Pria Ini

Foto Health

Suci Risanti Rahmadania – detikHealth

Rabu, 01 Okt 2025 20:00 WIB

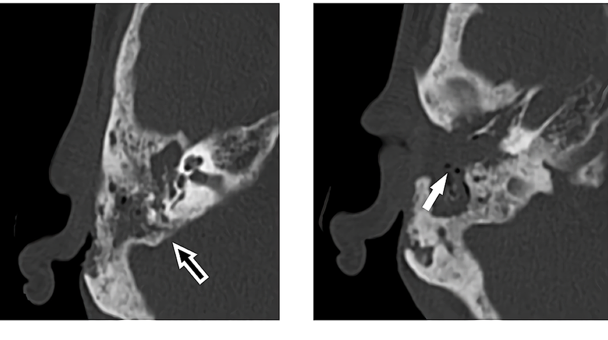
Jakarta – Seorang pasien berusia 65 tahun datang ke rumah sakit dengan masalah telinga. Setelah diperiksa, ternyata ada banyak belatung di telinganya.

Sumber Refrensi Berita: Detik.com

https://goal.sknt.it/
https://gacorslot88.it.com
Nagabet76 nagabet76
https://jem.egasmoniz.edu.pt/
https://en.okg-family.com/
https://aapoly.edu.ng/
https://creditos.fendesa.com/
vipbet76
slot gacor
slot88
888PG แพลตฟอร์มที่ผ่านการทดสอบแล้ว ทดลองเล่นสล็อต pg ได้ให้รางวัลชนะมากมายแก่สมาชิกใหม่ แนะนำเว็บไซต์สล็อตออนไลน์เดิมพันอันดับ 1 ของคนไทย
911XBET พันทิป อยากพาเพื่อนๆ มาสัมผัสความสนุกแปลกใหม่ แค่ลองเล่นสล็อตกับเรา รับรองติดใจแน่นอน
https://bulphysast.enu.kz/public/video/?th=หาเงินด่วนที่สุด+24+ชั่วโมง+ออนไลน์ได้เงิน+15+นาที
JUN88 ®️ สมัครสมาชิกใหม่ฟรี ไม่มีเงื่อนไข ลองเล่นสล็อต 1 สปิน ก็มีสิทธิ์ลุ้นแจ็คพอต x8888 รอคุณอยู่ทันที!
https://www.motivisionawards.com
https://www.infinitepossibility.org
https://www.gurneyfund.org
baru coba coba tanpa target pria ini dapat rezeki tak terduga dari mahjong wins 3 di winslot118
berbekal pola malam hari buruh bangunan menang mahjong ways 2 dan dapat uang rp117 juta untuk renovasi rumah
bosan lihat timeline pemuda ini klik mahjong ways 2 dan gak nyangka dapat cuan rp123000000 dari winslot118
gak masuk akal scatter hitam mahjong ways 2 bikin penjual roti keliling menang rp150 juta
gagal dapat kerja pemuda ini temukan peluang lewat mahjong ways dan raih rp102 juta hanya dalam 1 jam
gak sadar scatter hitam muncul lagi buruh harian ini cuma bisa nangis setelah dapat rp200 juta
gara gara iseng coba link winslot118 pria ini menang mahjong ways 2 dan dapat rejeki tak terduga
habis gajian ikut saran teman main mahjong wins 3 rezeki ngalir deras sampai rp118 juta lebih
kakek 60 tahun main mahjong wins 3 dan menang rp170 juta semua terjadi karena scatter hitam
ibu ibu rumah tangga temukan hobi baru main mahjong ways 2 dan dapat uang rp112000000 dari scatter
Bapak Anak Dua Menangis Haru, Mahjong Wins 3 Beri Rezeki Rp274.500.000 dari Winslot118 Saat Uang Menipis
Penjaga Toko Obat Ini Viral Setelah Spin Mahjong Ways 2 di Winslot118 dan Cuan Instan Rp286 Juta
Nenek Penjual Sayur Keliling Dapat Uang Rp261.700.000 dari Mahjong Ways 2, Anak dan Cucu Kaget
Penjual Roti Keliling Asal Pontianak Ini Heboh, Mahjong Wins 3 Kasih Rezeki Rp288.700.000 di Winslot118
Sudah Berbulan-Bulan Sepi Order, Sopir Travel Ini Bangkit Setelah Menang Mahjong Wins 3 di Winslot118 Rp288 Juta
Di Tengah Sawah Purworejo, Pak Tani Temukan Pola Scatter Merah Mahjong Ways 2 dan Menang Rp302 Juta di Winslot118
Buruh Pabrik di Sidoarjo Menang Mahjong Ways 2 di Winslot118, Gajian 2 Tahun Terbayar Cuma dalam Satu Spin
Bapak-Bapak di Warung Kopi Lampung Spin Mahjong Wins 3 dan Satu Orang Bawa Pulang Rp309 Juta dari Winslot118
Pak Rudi, Tukang Tambal Ban di Mojokerto, Bongkar Pola Scatter Hitam Mahjong Wins 3 yang Bikin Tajir Rp301 Juta
Sopir Pick Up Sayur Asal Karanganyar Menangis Saat Dapat Transferan Rp298.400.000 dari Winslot118
main mahjong ways 2 tengah malam saat hujan deras scatter hitam muncul dan dapat rp126000000 tanpa disangka
anak kos sisa uang rp95 ribu login winslot118 dan spin mahjong ways 2 gak nyangka scatter kasih rp102 juta
anak penjual nasi bungkus ini bikin heboh menang rp200 juta mahjong wins 3 dari modal receh
bukan sulap bukan sihir mahjong ways di winslot118 bikin ibu ibu warung jadi sultan baru setelah dapat rp125 juta
dulu jadi korban phk sekarang jadi pengusaha mahjong ways di winslot118 ubah jalan hidupnya
ditipu teman rp500 ribu balik lagi dari mahjong ways 2 dengan cuan rp180 juta dari winslot118
buruh serabutan ini dapat transferan langsung rp110500000 ke rekeningnya berkat main mahjong ways 2 pakai pola pemula
dulu sering dihina karena miskin sekarang jadi pemilik kontrakan berkat mahjong ways 2 winslot118
jualan kue sepi mahjong ways 2 jadi penyelamat ibu muda ini kantongi rp118500000 dari winslot118
mahjong ways 2 jadi andalan saat tanggal tua anak kuliahan ini dapat rp114 juta dari pola pagi hari
Anak Tukang Bangunan Ini Buktikan Mahjong Ways 2 Bisa Ubah Hidup Jadi Lebih Terhormat Lewat Winslot118
Nenek 60 Tahun Menangis Bahagia, Scatter Hitam Mahjong Ways 2 Kasih Rp160 Juta Buat Biaya Sekolah Cucu
Hidup Susah di Kosan Sempit, Pemuda Ini Jadi Sultan Baru Setelah JP Mahjong Ways 3 di Winslot118
Modal Uang Pinjaman, Mahasiswa Ini Balikin 20x Lipat Setelah Scatter Hitam Mahjong Ways 2 Muncul
Ibu-ibu Kampung Ini Ubah Nasib Lewat Scatter Hitam Mahjong Ways 3 dan Bangun Toko Kelontong Sendiri
Kisah Mahasiswa Perantauan Ubah Recehan Jadi Rp25 Juta di Winslot118 Berkat Pola Manual Mahjong
Mahasiswa Anak Kos Coba Pola Banjir Wild Mahjong Ways 2 Saat Menunggu Laundry
Mahasiswa Semester Awal Iseng Coba Pola Pemula Mahjong Wins 3 dan Malah Menang
Mahasiswa Kos Cuma Modal Jajan Rp50 Ribu Berhasil Dapat Scatter Hitam di Mahjong Ways
Mahasiswi Jurusan Akuntansi Login Winslot118 Tengah Malam Pakai Pola Turbo Mahjong
Mahasiswi Kuliah Online Sambil Jaga Warung Iseng Coba Pola Pemula Winslot188 Mahjong
Mahasiswi Magang Beli Jajan Sisa Rp50.000 Login Winslot118 Pola Pemula
Tukang Ojek Online Main Mahjong Wins 3 Winslot188 Saat Nunggu Orderan Pakai Pola Manual
Pola Manual Scatter Mahjong Ways 2 Bikin Tukang Parkir di Depan Kampus Mendadak Punya Saldo
Pedagang Roti Pinggir Jalan Menang Gates of Olympus Modal Sisa Uang Kembalian Belanja
Bekas Tukang Ojek Online Menang Rp180.300.000 dari Mahjong Ways 2 Winslot118 Saat Coba Pola Manual
Berawal dari Modal Rp100.000, Mantan Cleaning Service Menang Rp66.400.000 dari Gates of Olympus Winslot118
Cerita Mantan Buruh Pabrik Main Mahjong Ways 2 di Winslot118 dan Menang Besar Rp164.880.000 dari Pola Turbo
Cerita Tukang Cuci Motor yang Ubah Nasib Lewat Mahjong Wins 3 di Winslot188, Cuan Rp179.200.000
Dari Jualan di Pasar, Wanita Ini Menang Rp201.400.000 dari Mahjong Ways 2 Winslot118 Berkat Pola Turbo
Kisah Tukang Tenda Hajatan Ubah Nasib Lewat Scatter Hitam Mahjong Ways 2 Winslot118
Mahasiswi Kuliah Sambil Jaga Warung Pakai Pola Banjir Wild Mahjong Wins 3, Scatter Hitam Muncul
Mahasiswi Penghuni Kosan Sempit Dapat Rp18 Juta dari Gates of Olympus Pakai Pola Turbo
Modal Rp110.000 Penjual Gorengan Pinggir Jalan Dapat Rezeki Rp98.600.000 dari Gates of Olympus Winslot118
Pedagang Bubur Keliling Menang Gates of Olympus dari Sisa Uang Belanja Istri, Super Scatter Muncul
Pedagang Cilor Keliling Main Mahjong Ways 2 Pakai Pola Scatter Hitam, Dapat Kemenangan Rp170.850.000 di Winslot118
Penjual Es Cendol Dapat Rp20 Juta Setelah Pakai Pola Turbo Gates of Olympus Waktu Habis Jualan di Pinggir Jalan
Penjual Kerupuk Keliling Sempat Ragu Main Mahjong Wins Tapi Pola Manual Malam Hari Bikin Maxwin
Penjual Serabi Menang Rp165.000.000 dari Mahjong Wins 3 Winslot118, Modal dari Hasil Dagang Pagi Hari
Sempat Dihina Karena Dagang Online, Pemuda Ini Menang Rp167.000.000 dari Mahjong Wins 3 Winslot118
https://erurabe.com
https://gaiatronik.com
https://gallatindogclub.org
https://www.gamonyachting.com
https://lazaruscharbonneau.com
https://oddballsystems.com
https://promatchhomes.com
https://sinoscuba.com
https://www.trainwildhorses.com
https://terrafloraonline.com
OVOBET288
OVOBET288
VIPBET76
OLXBET288
slot88
Kuli Bangunan Heboh Hanya dengan Modal Receh di Mahjong Wins 3 Bisa Bawa Pulang Rp270 Juta
Modal Receh Rp40 Ribu Nelayan Pulang Laut Dapat Uang Tambahan Rp200 Juta dari Mahjong Ways 2
Main Mahjong Ways Pakai QRIS Pemain Joyslot88 Auto Maxwin Setelah Scatter Turun Berkali-Kali
Pakai QRIS Bikin Main Mahjong Ways Makin Mudah Pemain Bisa Jackpot Tanpa Repot Transfer Bank
Strategi Rahasia Malam Ini Mahjong Ways Punya Pola Baru Bikin Pemain Auto Maxwin di Akhir Bulan
Tips Akhir Bulan Rahasia Pola Panas Gates Of Olympus Malam Ini Jangan Sampai Ketinggalan
Pemain Heboh Baru Ini Bikin Stabil dan Auto Tarik Puluhan
Tips Paling Dicari di Bulan September Turun Lebih Cepat dan Mengalir Tanpa Henti
Tak Disangka Ternyata Modal Rp55 Ribu di 2 Jadi Rp295.400.000 Sekali Main
Satpam Perumahan di Surabaya Usai Raih Rp245 Juta dari 3 Hanya 30 Menit
Jangan Lewatkan Pola Mahjong Ways Terkini Sudah Bikin Banyak Pemain Tarik Cuan Besar
Fakta Mengejutkan Buruh Harian Jakarta Kantongi Rp405.600.000 dari Pola Mahjong Ways 2 Bulan September
Mahjong Ways 2 Lagi Panas di Winslot118 Pemain Pemula WD Rp241.000.000 Hanya dalam 22 Putaran
Pemain Mahjong Ways Auto Senyum Pola Baru Ini Bikin Maxwin Turun Berkali-Kali dalam Sekejap
Pola Manual Ganjil Genap Lagi Stabil di Mahjong Ways Mahasiswa UGM Berhasil Cuan Rp246.000.000
Pola Turbo 27x di Mahjong Ways 2 Lagi Viral Pemain Winslot118 Cuan Rp243.000.000 Tanpa Setting Akun
Rahasia Terkuak 34 Spin Mahjong Ways 2 Hujani Scatter Pemain Pulang Bawa Rp275 Juta
Rejeki Nggak Ketuker Pemuda Kalimantan Hantam Rp875.600.000 dari Pola September Mahjong Ways 2
Trending 29 Spin Mahjong Ways 2 Scatter Hitam Bertubi-Tubi Bisa Hasilkan Cuan Rp285 Juta
Bocoran Mahjong Ways Malam Ini Scatter Hitam Turun Deras Bikin Saldo Naik Drastis
Akhir Bulan September Spin Mahjong Ways 2 Bawa Kejutan Pemain Receh Bisa Naik Level Jadi Sultan
Bocoran Gates Of Olympus x1000 Hari Ini Potensi Maxwin 1000x Bikin Kantong Jadi Tebal Tanpa Batas
Fitur Update Terbaru Main Mahjong Ways 2 Pakai QRIS Hanya 20 Menit Jackpot Besar Sudah Didapatkan
Cara Baru September Bikin Profit Mudah Didapat Tanpa Ribet
Dari Warung ke Sultan Penjual Bakso Surabaya Dapat Rp365 Juta dari Black
Hari Ini Bikin Hitam Turun Berkali-Kali Tanpa Ampun
Hari Ini Terbukti Ampuh Banyak Pemain Pemula Bisa Langsung Pecah Besar
Bocoran Hitam Lebih Sering Turun Bikin Lancar di
Hitam Turun Bertubi-Tubi Pemain Pemula Langsung Pecah Pertama
Kisah Inspiratif Mahasiswa UGM Dapat Cuan Rp200 Juta Usai Ikuti Pola Mahjong Wins 3 Viral September
Dari Kosan Mahasiswa Main Mahjong Wins 3 Winslot118 dan Menang Rp262.000.000 Pakai Pola 9-3-3
Pemain Andalan Winslot118 Pakai Pola Mahjong Wins 3 Auto WD Rp424.000.000 Setelah Scatter Nongol Tanpa Henti
Main Mahjong Wins 3 di Winslot118 Pakai Pola 19-7-5 Pemain Berhasil Cuan Rp236.000.000 Tanpa Modal Banyak
Pemain Mahjong Wins 2 Winslot118 Bawa Pulang Rp271.000.000 dari Pola Ganjil Genap Akhir Bulan September
Pemain Mahjong Wins 3 Winslot118 Auto Raih Rp243.000.000 Saat Scatter Hitam Nongol Jam 02:00
Pemain Pemula Mahjong Ways Auto Kaya Pola Ini Bikin Modal Receh Meledak Jadi Fantastis
Pemuda Bogor Main Mahjong Wins 3 Coba Pola 45-35-20 Langsung Maxwin Rp412.000.000 Tanpa Banyak Spin
Pola Mahjong Ways 2 20-20-60 Pemain Pemula Kaget Scatter Hitam Nongol Deras dan Jackpot Rp397.000.000 Cair
Pola Mahjong Ways 2 Subuh Ini Pemain Auto WD Rp405.000.000 Setelah Scatter Hitam Turun 7 Kali Beruntun
Pola Mahjong Ways Resmi Sudah Teruji Bikin Pemain Raih Profit Lebih dari Dua Kali Sehari
Buruh Pabrik di Tangerang Mendadak Tajir Melintir Hasil Raih Rp319 Juta dari Provider 9799
Headline Utama Penjual Sate Madura Jadi Kaya Mendadak Usai Dapatkan Hitam
Kabar Heboh Pedagang Nasi Padang Sumbar Tembus Rp295.000.000 dari x1000
Mahasiswi Kost di Sleman Heboh Kantongi Rp254 Juta dari Berlimpah dalam 28 Menit
Pedagang Buah di Pasar Senen Mendadak Terkejut Raih Rp293 Juta dari Tadi Siang
Modal Tipis Bisa Meledak Pola Mahjong Ways Terbaru Ini Sudah Bikin Banyak Pemain Kaya Raya
Penjual Es Teler Bandung Modal Rp55.000 Menang Rp306.200.000 dari Gates Of Olympus x1000 Super Scatter
Penjual Roti Bakar Subang Modal Rp60.000 Meledak Jadi Rp303.900.000 dari Gates Of Olympus x1000 Super Scatter
Penjual Ikan Hias Asal Surabaya Mendadak Tajir Jackpot Rp341 Juta dari RTP Pragmatic Saat Tembus 97,8%
Pedagang Angkringan Hebohkan Jakarta Usai Jackpot Rp322 Juta dari RTP Pragmatic 98,1% Hari Ini
Baru 20 Menit Main Mahjong Ways 2 Hokiwin33 Pemain Ini Kaget Scatter Nongol 5 Kali dan WD Rp275.000.000
Main Konsisten di Mahjong Ways Pemain Hokiwin33 Akhirnya Kantongi Profit Fantastis
Gunakan QRIS di Mahjong Ways Bikin Pemain Santai Scatter Turun Deras hingga Jackpot Puluhan Juta
Fakta Mengejutkan Mahjong Ways 2 Pola Auto Profit Ternyata Lebih Ampuh di Jam Sepi
Main Mahjong Ways Pakai QRIS Modal 50 Ribu Meledak Jadi Jackpot Besar Rp200 Juta
Pola Turbo 15-25-50 Mahjong Ways 2 Bikin Pemain Baru Auto WD Rp259 Juta di Bulan September
Formula Scatter Hitam Mahjong Ways Hokiwin33 Jadi Incaran Pemain Karena Lagi Panas
Sopir Bus AKAP Semarang Bikin Heboh Usai Jackpot Rp307 Juta Lewat RTP PGSoft Live 9885
Trik Spin Turbo Mahjong Wins 3 Bikin Modal Receh Awet Tapi Tetap Cuan
Strategi Mahjong Ways Anti Boncos, Pemain Sudah Buktiin Bisa Raup Cuan Stabil Harian
Pola Auto Mahjong Wins 3 Terbaru September, Pemain Hokiwin33 Cairkan Rp250 Juta
Pola Mahjong Ways 2 30-35-35 Bikin Scatter Hitam Turun 6 Kali dan Maxwin Rp435 Juta
Pola Mahjong Ways 2 Terbaru, Pemula Auto WD Rp421 Juta Setelah Scatter Hitam Bertubi-tubi
Pola Manual 11-9-7 Mahjong Ways 2 Bikin Heboh, Pemain Menang Rp231 Juta September Ini
Pola Profit Mahjong Ways Hari Ini Bikin Pemain Senior Kaget Lihat Cuan Instan
3 kini lebih dapatkan maksimal dengan jitu
cara pasti dapat spektakuler saat main
hanya di gates of olympus inilah cara member meraih kemenangan ratusan juta
heboh dunia online super 2 diraih seorang player
ikuti strategi jitu ini peluang jadi lebih besar secara otomatis
jitu 2 terbukti temukan peluang besar dan rasakan sensasi
ngeri banget berserakan tiap putaran auto bungkus
raih ratusan full super besar hanya
terungkap rahasia puluhan hanya dalam beberapa putaran
tonton aksi seru pemain 3 di temukan ampuh raih hitam
banjirkan terbaru cara dapat yang kamu inginkan
banjirkan terbaru peluang besar yang sudah di jamin membuat rekening penuh
cara hasilkan 2 dengan modal kecil cukup pakai ini
cara main dengan petir biru peluang besar ratusan
ini kalau kamu mau tahu jam hari ini sudah pasti di tanganmu
jam 3 hari ini strategi main anti boncos boncos club
panduan hasilkan hitam 3 bukan main nominalnya
tips kecil tapi bisa dapat auto jadi kaya
trik cheat cara banjirkan bertubi tubi buat dombet auto tebal
trik kecil tapi hasilkan yang sangat ampuh
bongkar 3 pola paling jitu winslot118 dapatkan kemenangan mudah di mahjong ways
cara gampang dapatkan jackpot starlight princess winslot118 bikin cuan jadi mudah
cuma 4 menit jadi bos pria ini hajar scatter hitam mahjong wins 3 pakai trik cheat ampuh
langkah mudah raih jackpot mahjong ways 2 keberhasilan gampang di winslot118
pelajaran berharga player ini mengungkap trik jackpot mahjong ways di winslot118
pola jitu sore hari cara mudah member raup cuan besar di mahjong ways 2 situs slot ini
rugi jika tidak coba trik gates of olympus di winslot118 dijamin menangkan super besar
rupawan player ini gampang dapat cuan besar bermain starlight princess di winslot118
santai tapi cuan trik cheat bikin scatter hitam mahjong wins 3 di winslot118 jadi mudah
trik dewa slot player raih kemenangan menawan di gates of olympus winslot118
Sopir Ojol di Cengkareng Gegerkan Netizen Setelah Raup Rp332 Juta dari Mahjong Ways 2 Hanya Bermodal Rp50 Ribu
Penjual Sayur Kantongi Rp512.500.000 dari Mahjong Ways 2, Transformasi Hidup Jadi Agen Sembako Terbesar
Heboh Buruh Pabrik Bandung Raih Rp378.500.000 dari Mahjong Ways, Kini Hidup Nyaman dan Bisa Renovasi Rumah
Mekanik Motor Bermodal Rp100 Ribu Tembus Cuan Rp335 Juta dari Mahjong Ways 2, Kini Punya Bengkel Sendiri
Petani Kopi Toraja Raih Rp188 Juta Usai Scatter Hitam 6x Muncul di Mahjong Wins 3
Penjual Gorengan Surabaya Sukses Jadi Pengusaha Kuliner Viral Setelah Jackpot Rp412 Juta Mahjong Ways 2
Mahasiswa Iseng Main Mahjong Ways 2 Malam Hari, Saldo Meledak Rp220 Juta Tanpa Pola Ribet
Satpam Gudang Tangerang Spin Tengah Malam, Scatter Polos Mahjong Wins 3 Hadirkan Rp147 Juta Sekejap
Tukang Parkir Terminal Jadi Tajir Usai Menang Rp285 Juta Mahjong Ways 2, Kini Punya Usaha Kontrakan
Pemuda Nongkrong di Warkop Jackpot Rp200 Juta Mahjong Ways 2, Saldo Masuk dalam Hitungan Menit
Iseng Main Mahjong Wins 3, Pemuda Pulang Bawa Rp210 Juta Hanya dalam 20 Menit
Modal Rp70 Ribu Meledak Jadi Rp115 Juta Mahjong Ways 2 Berkat RTP Tinggi Kurang dari 40 Menit
Untung Fantastis! Mahjong Ways 2 RTP 97.59% Bikin Modal Tipis Jadi Besar
Main Tengah Malam, Pemain Mahjong Ways 2 WD Rp263 Juta Tanpa Setting Akun
Main Subuh, Pemain Mahjong Wins 3 Buktiin Bisa Bawa Pulang Rp237 Juta
Modal Rp50 Ribu Meledak Jadi Rp240 Juta di Mahjong Wins 3 Tengah Malam
Buruh Harian Lepas di Taman Bungkul Mendadak Kaya Usai Jackpot Rp318 Juta Mahjong Wins 3 dalam 40 Menit
Tukang Kayu Gurah Raup Rp308 Juta dari Mahjong Wins 3 Bermodal Rp50 Ribu
Penjual Seblak Pinggir Jalan Viral Usai Jackpot Rp305 Juta Mahjong Wins 3, Warga Tak Percaya
Pedagang Angkringan Kota Lama Heboh Usai Saldo Meledak Rp291 Juta dari Scatter Mahjong Ways 2
Baru 20 Menit Main Mahjong Wins 3 di Joyslot88, Penjual Batagor Kaget Scatter Deras WD Rp298 Juta
Pedagang Kue Tradisional Yogya Raup Rp354 Juta dari Gates of Olympus x1000 Akhir September
Strategi Baru Mahjong Ways Bikin Pemain Auto Kaya, Modal Receh Meledak Berkali-kali
Pedagang Es Teh Keliling Surabaya Tembus Rp352 Juta dari Starlight Princess x1000 September
Modal Tipis Bukan Masalah, Pola Mahjong Ways Ini Bisa Gandakan Uang Sekejap
Main Mahjong Ways Pakai QRIS, Pemula Pun Bisa Menang Rp200 Juta Sehari
Trik Mahjong Ways Akhir September Bikin Scatter Hitam Nongol Lebih Cepat
Deposit QRIS Mahjong Ways Bikin Heboh, Pemain Raup Rp200 Juta Sekejap
Bocoran Mahjong Ways Hari Ini, Spin 30x Langsung Bikin Cuan Turun Tanpa Ampun
Satpam Mall Jakarta Kantongi Rp127 Juta Bermodal Rp100 Ribu Berkat RTP PGSoft 9577
Buruh Harian Surabaya Mendadak Kaya Usai Jackpot Rp276 Juta dari RTP Pragmatic 979
Penjual Nasi Uduk Jakarta Viral Usai Menang Rp317 Juta Mahjong Wins 3 Scatter Hitam
Pemula Mahjong Ways 2 Malam Ini Pakai Pola 25-25-50 Langsung Raih Rp632 Juta Sekali Spin
Pedagang Kaki Lima Jakarta Ubah Hidup Usai Raih Rp340 Juta, Kini Bisa Buka Usaha Sendiri
Modal Rp50 Ribu Bisa Meledak Jadi Rp280 Juta Saat Main Tengah Malam
Penjual Pecel Lele Jakarta Heboh Usai Profit Rp327 Juta dari Provider 9835 Malam Hari
Penjual Bakso Malang Tajir Usai Profit x1000 Rp325 Juta, Kini Buka Cabang Baru
Fakta Rp70 Ribu Bisa Cair Rp70 Juta Bikin Geger Warga Jakarta
Main via QRIS Jadi Andalan Pemain Mahjong Ways, Proses Cepat & Menang Mudah
Kisah Nyata Tukang Sayur Keliling Bawa Pulang Rp230 Juta dari Scatter Hitam Mahjong Wins 3
Malam Ini Pemain Dikejutkan dengan WD Berkali-kali Lipat Tanpa Henti
Pola Ajaib 3-45-30-25 Bikin Pemain Senior Auto Senyum Lebar Usai Rp322 Juta Masuk Rekening
Buruh Tani Karawang Heboh Usai Raih Rp315 Juta dari RTP 985 Pagi Ini
Coba Pola 2-20-30-50, Pemain Tanpa Modal Besar Kantongi Profit Rp304 Juta
Mahasiswi UI Depok Jadi Sorotan Kampus Usai Kantongi Rp341 Juta dari Scatter Hitam
Penjual Soto Solo Mendadak Kaya Usai Raup Rp322 Juta dari RTP 978 Malam Tadi
Strategi 2-25-50-25 Bikin Pemula Tak Sangka Scatter Hitam Turun Deras dan Raup Rp293 Juta
Tukang Parkir Makassar Jadi Buah Bibir Usai Raup Rp299 Juta dari RTP 984 Hari Ini
Tukang Cukur Bekasi Kantongi Rp287 Juta Hanya dalam 25 Menit
Ternyata Ampuh! Pemain Baru Auto WD Tanpa Susah Payah
Aneh Tapi Nyata, Spin Ajaib Pak Darto Berhasil Maxwin Mahjong Ways 2 Cuma dengan Modal Tipis
Begini Spin Mahjong Ways ala Pemain Senior, Tips Jitu Raih Kemenangan Tanpa Perlu Modal Besar
Bocoran Eksklusif dari Mahjong Ways Hari Ini, Kemenangan Turun Cepat dan Cuan Mengalir Deras
Bocoran Scatter Emas Gates of Olympus x1000, Maxwin 1000x Bisa Bikin Hidup Berubah Total
Cara Unik Bermain Mahjong Ways, Modal Receh Berubah Jadi Kejutan Puluhan Juta dalam Sekejap
Cuma Modal Rp178.000, Tukang Bubur Malang Bisa Ubah Rp50 Ribu Jadi Rp124.300.000 dari Mahjong Ways 2
Dari Bonus Member Baru ke Cuan Ratusan Juta, Starlight Princess Jadi Idola Pemain Cari Cuan
Dari Game Seru ke Mesin Cuan, Starlight Princess x1000 Super Scatter Jadi Jalan Ubah Nasib Pemain 2025
Gunakan Pola Mahjong Wins 3 30-50-20, Banyak Pemain Profit Besar Mencapai Rp615.000.000 Hanya dalam 40 Putaran
Dari Modal Rp100 Ribu Bisa Jadi Ratusan Juta, Mahjong Wins 3 Buka Jalan Jackpot Besar dari Scatter Hitam
Penjaga Parkir di Depok Jadi Crazy Rich Mendadak Setelah Jackpot Mahjong Ways 2 Rp172.500.000 Malam Itu
Penjual Gorengan Solo Modal Rp95.000 Meledak Jadi Rp346.700.000 dari Gates of Olympus x1000 Super Scatter
Pola Mahjong Ways Super Rahasia, Pemain Pemula Bisa Langsung Bawa Pulang Kemenangan Pertamanya
Tukang Tambal Ban Depok Modal Rp50.000 Bawa Pulang Rp164.800.000 dari Mahjong Ways 2
Teknik Bermain Sabar di Mahjong Wins 3, Bikin Hujan Deras Scatter Hitam dan Saldo Tebal
Strategi Akhir Bulan Mahjong Ways 2025, Rahasia Pemain Pro Biar Saldo Terus Naik Tanpa Henti
Rahasia Mahjong Ways Anti Boncos Akhir Bulan, Banyak Pemain Sudah Tarik Cuan Fantastis dari Pola Ini
Pola Spin Mahjong Ways Teruji, Cara Paling Gampang Bikin Jackpot Cair Tiap Malam di Akhir Bulan
Pola Manual 45-21 Spin di Mahjong Wins 3 Joyslot88, Bikin Pemain Pemula Cuan Rp279.000.000
Pola Manual 17-9-5 di Mahjong Ways Lagi Panas, Pemain Joyslot88 Menang Besar Rp312.000.000
Inilah Pola Mahjong Ways Anti Gagal, Banyak Pemain Sudah Buktikan Berhasil Tarik Uang Fantastis
Kisah Viral Tukang Cukur Rambut Menang Rp220 Juta Hanya dari Pola Akhir Bulan Mahjong Ways 2
Kisah Tukang Ojek Online Raih Rp225 Juta dari Pola Mahjong Wins 3 yang Lagi Viral di Akhir Bulan
Scatter Hitam Muncul Sampai 7x, Pedagang Soto Lamongan Raup Rp342.600.000 dari RTP Provider PGSoft 96.6%
Simak Begini Trik Cerdik Kalahkan Mahjong Ways 2025, Spin Stabil Dijamin Bikin Saldo Tak Pernah Habis
Receh Jadi Berkah Luar Biasa, Penjual Es Dawet Solo Pulang Bawa Rp119.500.000 Bermodalkan Rp85.000 di RTP PGSoft 95.8%
Pola Rahasia Mahjong Ways Bocor ke Publik, Pemain Pemula Langsung Banjir Jackpot
Pola Mahjong Ways 2 15-35-50, Pemain Auto WD Rp602.000.000 Setelah Scatter Hitam Turun 6 Kali Berturut-turut
Pemuda Asal Garut Main Mahjong Wins 3 Coba Pola Baru Langsung Kantongi Kemenangan Rp618.000.000
Main dengan QRIS di Mahjong Ways, Pemain Pemula Tiba-tiba Dapat Scatter Berlimpah Tanpa Henti
coba pola ini di gates of olympus joyslot88 jaminkan cuan besar menghujani member
gaji cepat habis ini dia biang keroknya plus cara tambah cuan di mahjong wins 3
kunci sukses 2025 trik rahasia gates of olympus bikin cuan gampang didapat
melepas lelah usai kekalahan mahjong ways di joyslot88 justru jadi sumber cuan
pola mahjong ways 2 terbukti mudah bikin cuan besar dan bikin happy
strategi ampuh berburu jackpot mahjong ways 2 raih cuan besar lebih mudah di joyslot88
teknologi ganas joyslot88 admin bongkar rahasia sukses bermain starlight princess
terbukti cara mudah menang jackpot tersembunyi mahjong wins 3 hingga puluhan juta
transaksi meningkat joyslot88 bagikan cara mudah menang mahjong ways untuk semua member
trik seru menang starlight princess di joyslot88 jalan mudah menuju kemenangan besar
banyak yang belum tahu cara mudah raih kemenangan mahjong ways 2 yang dinanti pemain
cek polanya akses cuan harianmu di mahjong ways bisa dimulai sekarang juga
fakta baru winslot118 kini mudahkan kemenangan mahjong ways 2 tips langsung dari admin
modal receh meledak jadi 1 5 juta pola jackpot gacor gates of olympus terbongkar
pasar induk kramat jati heboh pendi raih jackpot mahjong wins 3 dengan cara ampuh ini
raih cuan besar di starlight princess gunakan trik ampuh ini dan join sekarang di winslot118
ribuan warga raup kemenangan sensasional besar berkat pola jitu gates of olympus
siswa tangsel bikin heboh begini cara mudah dapat cuan di mahjong wins 3
starlight princess di winslot118 temukan pola gacor dan raih kemenangan besar dengan mudah
winslot118 kembali memimpin di 2025 usai kemenangan besar mahjong ways berkat pola ampuh
besar 2 di cukup pakai trik rahasia ini
besar 3 bukan mimpi member buktikan dengan trik jitu ini
ekonomi seperti lautan trik bikin jadi lebih mudah
gede menanti ikuti syarat bermain dan raih lebih mudah
kunci sukses pola kelas menengah 2 raih besar
main ikuti cara ini untuk raih melimpah
makin punya trik jitu bikin 3 mudah didapat
menjunjung tinggi rahasia lebih mudah
pentingnya pakai trik jitu saat main auto melimpah
sorotan publik tempat besar pola mudah bikin
blak blakan strategi ampuh mengeluarkan scatter hitam di mahjong wins 3
buka peluang jackpot besar dapatkan cuan di mahjong ways pakai pola ini
karyawan pabrik di serang kemenangan besar gates of olympus bawa cuan fantastis
kemunculan scatter emas mahjong ways 2 trik ampuh mendulang cuan besar setiap putaran
kerugian winslot118 capai terliunan pemain raup jackpot mahjong ways 2 dengan pola ini
legenda slot mahjong ways dari pemula hingga raih kemenangan ratusan juta
permainan gacor starlight princess di winslot118 ini cara mudah hasilkan cuan
petualangan epik di gates of olympus spin penuh keberuntungan raih jackpot ratusan juta
player ini berhasil raih kemenangan jackpot starlight princess berkat trik jitu ini
winslot118 mahjong wins 3 kejar harta karun tersembunyi dan raih cuan tanpa batas
Auto Kaya! Penjual Sate Solo Pulang Bawa Rp198,7 Juta dari Pola Turbo Mahjong Wins 2 x100000 Hokiwin33
Pola Mahjong Ways 2 Jam Malam Lagi Panas, Pemain Hokiwin33 Buktiin Langsung Cuan
Pemuda Surabaya Iseng Pakai Pola Mahjong Wins 3, Cair Rp722 Juta Instan di Hokiwin33
Modal Rp67.000 Pecah Maxwin Rp122,3 Juta di Mahjong Ways 2 Hokiwin33, RTP Ternyata Berpengaruh!
Modal Mini Untung Besar, Mahjong Ways 2 Hokiwin33 Akhir September Jadi Rp145 Juta Sekejap
Mahjong Wins 3 Jadi Andalan Akhir Bulan, RTP Tinggi Bikin Pemain Hokiwin33 Susah Berhenti Main
Mahasiswa UGM Modal Rp65 Ribu Menang Rp278,5 Juta dari Mahjong Ways 2 Hokiwin33, Kini Bisa Beli Motor
25 Menit Saja! Pemuda Kalimantan Temukan Pola Scatter Hitam Mahjong Wins 3, Saldo Naik Rp223 Juta di Hokiwin33
Buruh Pabrik Bekasi Menang Rp325 Juta dari Mahjong Ways Hokiwin33, Kini Bisa Renovasi Rumah
Baru Login Pagi Hari, Pemain Hokiwin33 Main Mahjong Wins 3 Auto Cuan Rp225 Juta Sekali Spin
Main 35 Menit Saja! Mahjong Ways 2 di Joyslot88 Kasih Cuan Rp118 Juta dari Modal Receh
Teknik Pola 3-2-3 Mahjong Ways Joyslot88 Bikin Driver Ojol Surabaya Tak Sangka Scatter Hitam Hadir Berkali-kali
Strategi Ampuh Mahjong Ways 2 Joyslot88, Pemain Raih Rp115,3 Juta Hanya dalam 35 Menit
Rp175.000 Jadi Rp298,3 Juta! Mahasiswi UI Heboh Usai Menang Mahjong Ways 3 Black Scatter Joyslot88
Pola Viral Mahjong Wins 3 Scatter Hitam Joyslot88 Angkat Pemuda Jogja Jadi Sultan Muda Rp188 Juta
Penjual Sate Pinggir Jalan Mendadak Kaya Rp301 Juta dari Mahjong Ways 2 Modal Receh di Joyslot88
Pemain Baru Mahjong Ways PGSoft Langsung WD Rp219 Juta Setelah Coba Pola 9-9-21 di Joyslot88
Pemain Baru di Joyslot88 Kaget! Mahjong Ways 2 Langsung Kasih Rp245 Juta dalam 20 Menit dengan Modal Receh
Spin 30 Menit Bisa Hasilkan Rp212,5 Juta! Pensiunan Guru Jogja Cetak Sejarah di Joyslot88 dari Mahjong
Modal Rp180.000 Meledak Jadi Rp215,4 Juta! Tukang Parkir Jakarta Barat Auto Jadi Sultan di Mahjong Ways 3 Joyslot88
2025 Didominasi Mahjong Ways 2! Strategi Bermain Joyslot88 dengan Scatter Hitam Jadi Rahasia Pemburu Maxwin
Modal 50 Ribu! Pemain Joyslot88 Mahjong Wins 3 Raih Rp180 Juta dari Scatter Hitam Berturut-turut
Lagi Ramai! Mahjong Wins 3 Pecah Maxwin Rp259 Juta untuk 2000 Pemain Tercepat Joyslot88 Malam Ini
Cerita Kuli Harian Bekasi Menang Rp389 Juta dari Mahjong Wins 3 di Joyslot88
Buruh Bangunan Semarang Main Santai Mahjong Ways Joyslot88, Scatter Hitam Turun 5 Kali!
Bukti Heboh! Mahjong Wins 3 Black Scatter di Joyslot88 Jadi Mesin Cuan Rp115 Juta Kurang dari 40 Menit
Bikin Kaya! Pemain Mahjong Wins 3 Joyslot88 WD Rp223 Juta Setelah Scatter Hitam Muncul 4 Kali
Modal Rp77.000, Pemain Mahjong Ways 2 Joyslot88 Menang Rp232 Juta Tanpa Pola Ribet
Auto Cuan! Mahjong Ways 2 di Joyslot88 Ubah Rp70.000 Jadi Rp120 Juta Kurang dari 40 Menit
2025 Makin Seru! Mahjong Ways 2 Joyslot88 Bikin Ribuan Pemain Ubah Modal Tipis Jadi Maxwin Fantastis
Modal Rp45.000! Pemain Gacorwin55 Mahjong Ways 2 Tarik Rp254 Juta dari Teknik Turbo Manual September
Tukang Kayu Klaten Viral! Menang Rp329 Juta dari Mahjong Wins 3 Gacorwin55 dalam 22 Menit
Tukang Las Garut Spin Mahjong Wins 3 Saat Istirahat, Modal Receh Jadi Rp152 Juta di Gacorwin55
Tukang Sayur Tangerang Mendadak Kaya! Mahjong Ways Gacorwin55 Scatter Polos Bawa Pulang Rp178 Juta
Supir Truk Surabaya Auto Kaya! Scatter Mahjong Ways Gacorwin55 Banjir Uang Rp191 Juta Sekali Putar
Spektakuler! Mahjong Ways 2 Jam 01:50 Pecah Wild, Pemain Baru Gacorwin55 Auto Maxwin Rp303 Juta
Pemuda Tukang Fotocopy Depok Spin Mahjong Ways Gacorwin55 Tengah Malam, Jackpot Rp162 Juta Hadir Tanpa Diduga
Luar Biasa! Pemain Mahjong Wins 3 Jam 02:40 di Gacorwin55 Auto Maxwin Rp320 Juta Berkat Spin Manual Cepat
Ibu Penjual Pecel Tegal Pulang Bawa Rp138 Juta Usai Scatter Mahjong Wins 3 Gacorwin55 Hadir 5x Berturut
Driver Travel Bandung-Jakarta Jackpot! Mahjong Wins 3 Gacorwin55 Modal Rp55 Ribu Cair Rp192 Juta
Buruh Harian Surabaya Mendadak Kaya, Jackpot Rp276 Juta Berkat RTP Pragmatic Play 97,99%
Pedagang Batagor Bandung Raup Rp313,2 Juta Dari Pola X100000 Mahjong Wins 2 Bertubi-tubi
Pedagang Es Teh Yogyakarta Heboh, Kantongi Rp264 Juta Dari Scatter Mahjong Ways 2 Malam Ini
Pedagang Keripik Singkong Bandung Raup Rp312,9 Juta Dari Pola Scatter Hitam Mahjong Wins 2 September
Pemuda Penjual Es Cendol Surabaya Menang Rp302,8 Juta Dari Gates Of Olympus X1000 Super Scatter
Pemuda Penjual Bakpao Solo Menang Rp311,2 Juta Mahjong Wins 3 Pola Turbo Manual Akhir Bulan
Penjual Mie Ayam Bogor Raih Rp298,7 Juta Dari Gates Of Olympus X1000 Jam 02.00 WIB
Penjual Roti Bakar Bandung Modal Rp49 Ribu Menang Rp300,7 Juta Dari Gates Of Olympus Scatter
Sandra Penjual Bakpao Solo Menang Rp310,3 Juta Lewat Pola Turbo Manual Mahjong Wins 3
Tukang Ojek Pangkalan Jakarta Timur Raih Rp294,3 Juta Dari Gates Of Olympus Pola X1000
Akhir September! Scatter Beruntun Starlight Princess X1000 Bawa Pemain Solo WD Rp288 Juta
Buruh Serabutan Bekasi Bawa Pulang Rp318,5 Juta Dari Gates Of Olympus X1000 Super Scatter
Modal Rp50 Ribu Jadi Rp278 Juta! Pak Jarwo Main Mahjong Wins 3 Gegerkan Kampung
Fantastis! Pedagang Asongan WD Rp234 Juta Setelah Pola Rahasia Mahjong Wins 3 Terbukti
Fenomena Baru! Mahjong Ways 2 Stabil Munculkan Scatter, Pemain Pemula WD Rp249 Juta
Pedagang Angkringan Sleman Raup Rp289,6 Juta Dari Mahjong Wins 3 Berkat Pola Manual Turbo
Nelayan Lombok Barat Mendadak Kaya, Mahjong Ways Kasih Rp186 Juta Dengan Spin Receh
Tukang Ojek Online Surabaya Raih Rp332 Juta Dari Scatter X1000 Gates Of Olympus
Pedagang Nasi Uduk Jakarta Pusat Auto Viral, Jackpot Rp158 Juta Dari Mahjong Ways Sekali Duduk
Pedagang Bubur Ayam Bandung Menang Rp297,8 Juta Dari Mahjong Wins 2 X100000 Pola Manual
Baru Join Sehari! Pemain Mahjong Wins 3 Winslot118 WD Rp243 Juta Modal Receh Rp99 Ribu
Penjual Pentol Cilok Cirebon Raup Rp247,2 Juta Dari Mahjong Ways 2 RTP PGSoft 99,01%
Tak Sangka! Saat Lampu Padam, Penjual Serabi Tasikmalaya Raup Rp247,3 Juta Mahjong Ways 2
Buruh Pabrik Sepatu Cikarang Menang Rp327,8 Juta Dari Mahjong Ways 2 Winslot118
Spin Tengah Malam! Kuli Bangunan Bekasi Dapat Rp258,7 Juta Dari Mahjong Wins 3 Winslot118
Rezeki Nomplok Hujan-Hujan, Penjual Tahu Sumedang Raup Rp248,7 Juta Mahjong Wins 3
Ramai di Grup WA! Penjual Pecel Lele Lamongan Depok Menang Rp246,9 Juta Mahjong Ways 2
Pola Turbo 25-25-50 Bikin Pemain Winslot118 Mahjong Ways PGSoft Pecah Jackpot Rp248 Juta
Petani Kopi Toraja Heboh, Panen Belum Cair Sudah Menang Rp295,2 Juta Mahjong Ways 2
Pemain Mahjong Ways 2 Winslot118 Cuan Rp271 Juta Setelah 100x Spin Manual Tanpa Turbo
Ngopi di Warung, Pemuda Surabaya Auto Kaya Rp267,8 Juta Dari Mahjong Wins 3 Scatter Hitam
Modal Rp70 Ribu Jadi Rp219 Juta, Pemain Mahjong Ways 2 Winslot118 Buktikan Pola Lama Ampuh
Modal Rp90 Ribu, Penjual Pecel Lele Jogja Menang Rp242,3 Juta Dari Mahjong Ways 2 PGSoft
Modal Gajian Rp100 Ribu, Pemuda Banjarmasin Menang Rp263,5 Juta Mahjong Ways PGSoft
Anak Kos Surabaya Modal Rp75 Ribu Raih Rp247,6 Juta Dari Mahjong Ways 2 PGSoft
Login Malam Jumat! Pemilik Warteg Depok Menang Rp238,4 Juta Mahjong Ways 2 Winslot118
Live RTP 97,91%! Sopir Angkot Surabaya Dapat Rp251,4 Juta Dari Mahjong Ways Winslot118
Iseng Malam Minggu, Sopir Truk Kalimantan Pulang Bawa Rp312,7 Juta Mahjong Ways Winslot118
Dari Warung Kecil Jadi Miliaran, Penjual Soto Kudus Semarang Menang Rp249,7 Juta Mahjong Ways
Cerita Aneh Tapi Nyata! Penjual Kerak Telor Jakarta Pusat Raup Rp248,8 Juta Mahjong Wins 3
Baru 7 Menit Spin, Tukang Bakso Malang Auto Cuan Rp305 Juta dari Gates of Olympus x1000 Winslot118
Scatter Hitam Mahjong Wins 3 Bikin Ibu Rumah Tangga Mendadak Kaya Rp289 Juta Semalam di Winslot118
Scatter Hitam Turun Cepat, Anak Kos Bandung Pulang Rp291 Juta di Mahjong Wins 2 x100000
Rejeki Tak Disangka, Agus Montir Motor Bawa Pulang Rp416 Juta dari Kombinasi Scatter PGSoft di Winslot118
Modal Receh Mahasiswa Kosan Tembus Rp220,55 Juta Berkat Scatter Hitam di Mahjong Ways 3 Winslot118
Malam Gemilang, Sari Mahasiswi Menang Rp402 Juta dari Scatter Mahjong Ways Winslot118 dengan RTP 96,90%
Lagi Nunggu Order, Driver Ojol Jakarta Pulang Bawa Rp297 Juta dari Gates of Olympus Super Scatter
Dari Modal Receh, Penjual Nasi Uduk Menang Rp287 Juta di Mahjong Ways Scatter Hitam
Dari Gaji Buruh Rp3 Juta Kini Punya Mobil Baru Berkat Menang Mahjong Wins 3 Rp356,8 Juta
Modal Rp70 Ribu, Buruh Pabrik Tekstil Kantongi Rp283 Juta di Mahjong Wins 3 Winslot118
Awalnya Cuma Cek Nomor, Penjual Es Krim Rina Tembus Jackpot Rp187,42 Juta di Winslot118 Mahjong Ways
Pedagang Bakso Keliling Jadi Kaya, Pola Mahjong Wins 3 Antar Rp184,7 Juta Semalam
Pensiunan Guru SMA Pulang Senyum Lebar, Scatter Hitam Mahjong Wins 3 Antar Rp168,5 Juta Modal 75 Ribu
Lagi Ngopi di Warung, Tukang Kebun Hendra Terkaget Dapat Rp214,2 Juta di Winslot118 Mahjong Ways 2
Iseng Spin Siang Bolong, Pedagang Angkringan Doni Dapat Rp205,33 Juta di Mahjong Ways 2
Dari Warung Bubur ke Rumah Mewah, Pemuda Raup Rp248,5 Juta Berkat Mahjong Wins 3 Black Scatter
Dari Rp60 Ribu Jadi Rp293 Juta, Penjual Cilok Heboh Berkat Scatter Hitam Mahjong Wins 3 Winslot118
Main Iseng Saat Istirahat, Tukang Bakso Arif Tembus Rp193,45 Juta di Mahjong Ways Saat RTP Tinggi
Bukan Main-main, Tukang Pijat Andi Kaya Rp195,3 Juta Berkat Mahjong Ways Winslot118
Awalnya Santai, Kuli Bangunan Adi Tembus Rp187,66 Juta di Gates of Olympus Super Scatter
Auto Cuan Pemain Mahjong Wins 2 X100000 di Joyslot88 Raup Rp118 Juta dengan Modal Kecil
Tukang Sate Padang Keliling Asal Bandung Heboh Usai Raih Rp288 Juta dari Mahjong Ways 2 Joyslot88
RTP Tembus 97,69% Mahjong Ways 2 Joyslot88 Bikin Pemula Raup Rp120 Juta
Tukang Cukur di Surabaya Auto Kaya Usai Jackpot Mahjong Wins 3 Joyslot88 Rp370 Juta
Raih Rp118 Juta Cepat Mahjong Ways 2 di Joyslot88 Kasih Untung Fantastis dari Modal Rp95 Ribu
RTP 95,50% Mahjong Ways 2 Joyslot88 Bikin Modal Kecil Jadi Maxwin Rp115 Juta dengan Cepat
Modal Rp70 Ribu Berbuah Jadi Rp115 Juta di Mahjong Wins 3 Joyslot88 Hanya Butuh 35 Menit
Pola Turbo 65x Spin Mahjong Ways Berhasil Bikin Pemain Solo WD Rp297 Juta Tanpa Setting Akun di Joyslot88
Dari Modal Tipis ke Puluhan Juta, Scatter Hitam Mahjong Wins 3 Auto Pecah di Joyslot88
Bukti Nyata Banyak Pemain Mahjong Ways 2 di Joyslot88 Raup Rp115 Juta dari Modal Receh
Baru Belajar 2 Hari, Tukang Bakso Ini Menang Mahjong Ways 2 Scatter Hitam Rp111 Juta Tanpa Ribet
Penjual Es Dawet Bermodal Rp75 Ribu Menang Rp325 Juta dari Mahjong Ways 2 Hidup Langsung Berubah
Pedagang Gorengan Keliling Ini Bisa Bayar Semua Cicilan Rumah Berkat Mahjong Ways 2
Pensiunan Sopir Bus Tak Sangka Bisa Lunasi Cicilan Rumah Berkat Pola Scatter Mahjong Wins 2 X100000
Pola Malam Hari Mahjong Ways 2 Bikin Tukang Fotokopi Bisa Beli Motor Baru Modal Rp50 Ribu
Pagi Jualan Bubur Sore Jadi Jutawan, Tukang Bubur Raup Rp139 Juta dari Mahjong Wins 3 Black Scatter
Modal HP Warisan Kakak, Remaja Ini Menang Mahjong Ways 2 Rp123 Juta Tanpa Modal Besar
Modal Rp96 Ribu Jadi Rp115 Juta, Pola Viral September Mahjong Ways 2 Bikin Pemain Palembang Kaya
Mahjong Ways 2 Resmi Jadi Pionir di 2025, Scatter Hitam Tak Pernah Absen dan Bikin Pemain Berulang Kali Menang Besar
Mahasiswa UI Asal Jogja Pulang Tersenyum Lebar Setelah Menang Mahjong Ways 2 Rp154 Juta
Jam Sepi Mahjong Ways 2 Ternyata Lebih Panas, Ratusan Pemain Raup Cuan Besar
Fenomena Malam Ini, Guru Honorer Tegal Raup Rp117 Juta dari Rp85 Ribu di RTP PGSoft Tembus 97,69%
Dulu Diremehkan Teman Karena Main Game, Kini Anak Kost Jadi Kaya Berkat Mahjong Ways 2
Dari Tukang Angkut ke Pemilik Usaha, Pak Joko Raup Rp162 Juta Berkat Scatter Mahjong Ways 2
Dari Rp40 Ribu Jadi Rp318 Juta, Pemuda Jakarta Pecah Rekor MURI Usai Main Starlight Princess Super Scatter
2025 Dipenuhi Kejutan! Mahjong Ways PGSoft Gencar Berikan Scatter Hitam Modal Receh
Dari Rp89 Ribu Jadi Rp261 Juta, Pemuda Pontianak Ubah Nasib Usai Main Mahjong Wins 2 x100000
Viral Akhir Bulan! Mahjong Ways 2 Hebohkan Komunitas, Scatter Hitam Bikin Modal Kecil Meledak
Pedagang Mainan Pasar Johar Semarang Mendadak Kaya, Raih Rp323 Juta dari RTP Pragmatic 98.19%
Pedagang Martabak Jakarta Barat Menang Rp316,2 Juta dari Starlight Princess x1000 Modal Rp92 Ribu
Pedagang Soto Ayam Magelang Raih Rp313,1 Juta dari Starlight Princess Super Scatter Pola September
Pekerja Serabutan Bandung Bawa Pulang Rp293,4 Juta dari Gates of Olympus Super Scatter Pola Manual
Pemuda Pengangguran Bekasi Auto Tajir! Mahjong Wins 3 Modal Rp25 Ribu Cairkan Rp179 Juta Sekejap
Penjual Gorengan Jogja Menang Rp295,4 Juta dari Mahjong Wins 2 dengan Pola Scatter Hitam Akhir Bulan
Petani Jagung Blora Spin Mahjong Wins 3 Scatter Hitam, Bawa Pulang Rp181 Juta
Receh Rp69 Ribu Meledak! Pedagang Sayur Bogor Raup Rp117,5 Juta di RTP PGSoft 96.76%
Pramusaji Restoran Bali Jackpot! Mahjong Wins 3 Sekali Spin Langsung Masuk Rp155 Juta
Supir Angkot Depok–Manggarai Menang Mahjong Ways Scatter Hitam 5x, Uang Rp166 Juta Masuk!
Scatter Hitam Mahjong Ways 2 Makin Dicari, Pemain Lama & Pemula Rasakan Cuan Deras Akhir Bulan
Resmi Kuasai Tren 2025! Mahjong Ways 2 Scatter Hitam Jadi Kunci Utama Penghasil Cuan Setiap Hari
Dari Rp140 Ribu Jadi Rp576 Juta! Crazy Rich Jakarta Bagikan Tips Main Gates of Olympus Super Scatter
Pola Rahasia 45x Spin Gates of Olympus x1000 Bikin Pemain Surabaya Auto WD Rp318 Juta Modal Kecil
Tukang Bakso Jakarta Auto Buka Cabang Baru! Scatter Mahjong Wins 3 Turun Hasilkan Rp312 Juta
Scatter Hitam Gates of Olympus x1000 Bikin Buruh Bangunan Bandung Tarik Rp299 Juta Sekaligus
Penjual Roti Bakar Bandung Auto Naik Kelas, Mahjong Wins 3 Scatter Hitam 6x Ubah Nasib Kehidupan
Pemuda Tukang Fotocopy Depok Spin Mahjong Ways Tengah Malam, Raih Rp162 Juta Tanpa Diduga
Pemilik Warung Kopi Jogja Mendadak Kaya, Mahjong Wins 3 Scatter Cairkan Rp138 Juta Kini Renovasi Toko
Pedagang Bakso Keliling Solo Main Gates of Olympus Super Scatter, Hadirkan Rp357 Juta Modal Receh
Nongkrong di Angkringan, Mahasiswa Unpar Coba Mahjong Ways 3 dan Langsung Profit Rp234 Juta
Nelayan Kecil Banyuwangi Main Mahjong Wins 3 dan Raup Rp178 Juta, Kini Bisa Beli Kapal Baru
Main Santai Tengah Malam, Mas Aryo Coba Mahjong Wins 3 WD Rp233 Juta Pakai Pola Simpel
Kisah Pemuda Main Mahjong Wins 3 Pragmatic Play Pakai Pola Unik 13-13-26 Cairkan Rp267 Juta
Kisah Mahasiswa Perantauan Jogja Spin Starlight Princess x1000, Sekali Scatter Masuk Rp189 Juta
Karyawan Pabrik Sepatu Iseng Coba Mahjong Wins 3 Jam Istirahat, Scatter Hitam Hasilkan Rp259 Juta
Driver Travel Bandung–Jakarta Menang Mahjong Wins 2 Modal Rp25 Ribu, Bisa Cairkan Rp192 Juta
Baru 40 Menit Main! Penjual Coto Makassar di Mahjong Ways Gacorwin55 Raup Rp263 Juta dari Scatter Hitam
Pemain Gates of Olympus x1000 Gacorwin55 Kaget! Scatter 5 Kali dalam 30 Spin Auto WD Rp276 Juta
Simak Tips & Trik! Scatter Hitam Terus Hadir Bawa Hasil Fantastis untuk Semua Pemain Gacorwin55
Permainan Mahjong Wins 2 Lagi Panas! Pemain Gacorwin55 Bawa Pulang Rp259 Juta dalam 18 Menit
Pegawai Indomaret Main Mahjong Ways 2 Gacorwin55 Saat Lembur, Meledak Rp232 Juta Langsung Cair
Modal Rp70 Ribu Meledak Jadi Rp115,3 Juta! Strategi Mahjong Ways 2 di Gacorwin55 Terbukti Nyata
Mahasiswa UI KKN di Dewa Wonorejo Main Mahjong Wins 3 Gacorwin55 Pakai Pola Receh Auto WD Rp214 Juta
Fenomena Scatter Hitam Mahjong Ways 2 Bikin Heboh! Pemain Gacorwin55 Klaim Maxwin Tanpa Modal Besar
Dari Nongkrong Warung Kopi, Pak Adhi Main Mahjong Wins 3 Gacorwin55 Cuan Rp259 Juta dalam 28 Menit
Bermodal Rp79 Ribu, Pemain Mahjong Wins 3 Gacorwin55 Menang Rp239 Juta Pakai Pola Turbo 20-20-40 Akhir Bulan
Mahasiswi Bandung Bermodal Rp95 Ribu Raih Rp244 Juta dari Starlight Princess x1000 Hokiwin33
Pemuda Desa Banyumas Viral Usai Pulang Bawa Rp327 Juta dari RTP PGSoft 98.66% Hokiwin33
Penjual Es Kelapa Bekasi Raup Rp300,8 Juta dari Gates of Olympus x1000 Hokiwin33
Penjual Ayam Geprek Makassar Buka Cabang Baru Usai Menang Rp289 Juta dari Mahjong Ways 2 Hokiwin33
Simak Pola Mahjong Ways 2 (20-40-40), Pemain Hokiwin33 Raih Rp705 Juta Setelah Scatter Hitam Turun Terus
Main Mahjong Ways Pakai QRIS di Hokiwin33, Pemain Kaget Jackpot Ratusan Juta Turun Tanpa Diduga
Cerita Viral Tukang Bakso Dapat Rp245 Juta dari Mahjong Wins 3 Berkat RTP Tinggi Hokiwin33
Tengah Malam di Hokiwin33, Buruh Bangunan Menang Rp266 Juta dari Scatter Mahjong Ways 2
Tanpa Pola Rumit, Karyawan Kantoran Bandung Raup Rp198,9 Juta dari Mahjong Ways 2 Hokiwin33
Sopir Truk Semen Surabaya Heboh Bisa WD Rp308 Juta dari Lucky Neko Berkat RTP PGSoft 98.5% Hokiwin33
Baru Login Tengah Malam, Penjual Roti Bakar Surabaya Auto Cuan Rp228 Juta dari Mahjong Ways Joyslot88
Modal Tipis Untung Gede, Mahjong Ways 2 di Joyslot88 Bisa Jadi Rp115 Juta dengan Cepat
Kisah Sukses Nelayan Madura Beli Perahu Baru Berkat Pola Mahjong Ways PGSoft di Joyslot88
Heboh! Strategi Mahjong Ways 2 Joyslot88 Terbongkar, Ubah Modal Rp79 Ribu Jadi Rp115,3 Juta
Spektakuler! Mahjong Wins 3 di Joyslot88 Bikin Modal Receh Meledak Jadi Rp115 Juta dalam 20 Menit
Teknik Spin Ganjil Genap Lagi Panas, Mahjong Ways 2 Joyslot88 Pecahkan Rp229 Juta Malam Hari
Teknik Pola Santai Terbukti, Pemain Mahjong Wins 3 Joyslot88 WD Rp229 Juta Modal Rp65 Ribu
Teknik Pola 31-22-33 Mahjong Ways 2 Joyslot88 Bikin Penjual Batagor Surabaya Hujan Scatter Hitam
Trik Kilat! Modal Rp70 Ribu Bisa Jadi Rp120 Juta di Mahjong Ways 2 Joyslot88
Trik Spin Sore Hari Mahjong Ways Joyslot88, Buruh Pabrik Tangerang Pulang Bawa Cuan Ratusan Juta
bang agus berhasil bikin tabungan bertambah 10 kali lipat dalam sebulan
bongkar trik scatter hitam mahjong wins 3
cerita mbak lina gates of olympus
cerita pak budi main mahjong wins 3 modal kecil jadi jutaan
cerita pak rudi jadi sultan gates of olympus
kisah nyata ibu dewi dari ibu rumah tangga jadi kaya mendadak
kisah pak hendra melipat gandakan penghasilannya
modal receh 50 ribu mbak sari dari solo raup puluhan juta
rahasia pak toni yang sukses maksimalkan cuan jutaan
trik ampuh main yang bikin kamu bisa cuan maksimal tanpa ribet
menegangkan pemain ini temukan pola jitu starlight princess cuan mudah di winslot118
pendaki wanita raup cuan besar di gates of olympus setelah pulang hiburan begini polanya
perunding admin gencatan senjata trik emas mahjong ways bikin keuntungan melimpah
player asal padang raup cuan besar trik jitu mahjong ways 2 bikin menang terus
pola ampuh mahjong wins 3 cara main agar cuan mengalir tanpa rungkat
simak trik jitu player ini menang besar di starlight princess dengan pola rahasia
supir truk raup cuan tambahan dengan mudah begini trik jitu menang di mahjong wins 3
terungkap skema gates of olympus bikin jackpot beruntun dan cuan besar tiap putaran
viral di jakut pria ini bikin warga terkejut cuan mudah dari mahjong wins 3 winslot118
warga sipil raup jackpot mudah pola rahasia mahjong ways 2 di winslot118 terbongkar
aksi seru dan hadiah gede menantimu main mahjong ways 2 kini semakin mudah
banjir hadiah pola gacor starlight princess hari ini bikin pemain raup kemenangan besar
bocoran trik gacor mahjong ways 2 joyslot88 hari ini cara mudah raup cuan besar
ikuti cara ini dan raih kemenangan sensasional di starlight princess1000 dengan mudah
main sebentar raup untung besar pola rahasia mahjong ways di judi online terbaru 2025
sekali spin mahjong wins 3 langsung tajir begini cara mendapatkan banyak cuan
selain bongkar joyslot88 beri jalan cuan menang mudah di mahjong wins 3 dengan langkah ini
spin gratis setiap hari begini pola jitu yang bikin jackpot mahjong ways meledak
trik rahasia gates of olympus raup kemenangan spektakuler hanya dengan modal 20rb
viral pemain asal solo raup rp100 juta di gates of olympus dengan pola jitu ini
6 cara sensasional menang di gates of olympus raih cuan mudah di gacorwin55
banyak member raup cuan besar strategi super starlight princess terbukti ampuh
dulu aktor kini viral berulang kali raih jackpot puluhan juta di mahjong ways
gebrakan jackpot mahjong ways 2 trik ini bikin player raih kemenangan bikin bangga
jangan asal klik gunakan pola ini raup kemenangan sensasional starlight princess
kalahkan semua tantangan player ini menang super di mahjong ways pakai trik ini
player raih kemenangan sensasional gates of olympus di gacorwin55 pakai strategi ini
player raup ratusan juta di mahjong wins 3 cara gacor ini bikin mudah menang
strategi ampuh mahjong wins 3 jackpot besar dengan 4 black scatter di gacorwin55
terungkap satu langkah menuju kemenangan jackpot mahjong ways 2 di gacorwin55
daftar link terbukti gacor pola jitu admin bikin jackpot di gates of olympus
dompet tipis begini trik ubah modal kecil jadi puluhan jutaan di mahjong ways 2
hokiwin33 bocorkan resep ampuh membuat member mudah raih cuan di mahjong ways 2
klaim sekarang dan raih cuan di mahjong ways hokiwin33 dengan trik ampuh ini
mau cuan besar ini jurus sensational gates of olympus yang wajib dicoba
menyingkap keberuntungan mahjong wins 3 pecahan jackpot dengan pola jitu di hokiwin33
nyaman dan untung trik mudah dapat cuan besar starlight princess di hokiwin33
terungkap ini alasan player pilih starlight princess di hokiwin33 dan pola jitu
trik hokiwin33 bikin member terseyum mahjong wins 3 kini mudah hasilkan cuan jutaan
trik paling ampuh main mahjong ways malam hari bikin cuan besar semakin mudah
Tengah Malam Bawa Hoki, Buruh Bangunan Tarik Rp314.000.000 Usai Main Mahjong Wins 3 di Akhir Bulan
Simak Strategi Hadirkan Scatter Hitam Tanpa Ampun dan Raup Hasil Fantastis di Akhir Bulan
Pola 55x Spin Mahjong Wins 3 di Hokiwin33 Bikin Pemuda Medan Cairkan Rp326.000.000
Pola Turbo 60x Spin Gates of Olympus x1000 Super Scatter Bikin Pemain Bogor Kantongi Rp333.000.000
RTP Hokiwin33 di Mahjong Wins 3 Bikin Geger, Pemain Spin Santai Langsung Dihadiahi Jackpot Besar
Supir Bus AKAP Jakarta-Semarang Menang Mahjong Wins 3 Scatter 4x Cairkan Rp201 Juta
Tukang Jahit di Klaten Tembus Jackpot Rp307.800.000 dari Gates of Olympus x1000 Hanya Modal Rp100.000
Tukang Bangunan di Karawang Auto Tajir, Scatter Mahjong Ways 6x Berturut-turut Cairkan Rp172 Juta
Tukang Bakso Keliling di Bandung Auto Viral, Jackpot Mahjong Wins 3 Cairkan Rp186 Juta Sekali Spin Receh
Montir Truk di Gresik Kaget Bisa Tarik Rp314 Juta dari RTP Pragmatic 97,9% dalam 30 Menit di Hokiwin33
Strategi Pola Viral Akhir Bulan Mahjong Ways 2 Antar Montir Motor Bandung Gasak Rp452.700.000 di PGSoft
Strategi Tersembunyi Mahjong Ways, Pemain Baru Bisa Rasakan Sensasi Profit Besar Tanpa Ribet
Spin Tengah Malam, Mahasiswi Jakarta Auto Raih Rp118.900.000 dengan Modal Rp90.000 di RTP PGSoft 95,77%
Spin Malam Jumat, Buruh Harian Tangerang Pulang Bawa Rp7.926.500.000 dari PGSoft Live Tembus 97,80%
Strategi Pola Mahjong Ways 2 Terbaru Malam Ini, Pemain Senior Auto Raih Rp609.000.000 Sekali Main
Setelah Bertahun-tahun Kontrak, Karyawan Ini Kini Punya Tabungan Baru dari Scatter Mahjong Ways 2
RTP 96,55% Mahjong Ways 2 Joyslot88 Bikin Modal Mini Jadi Rp115 Juta Hanya dalam 35 Menit
Awalnya Cuma Temani Teman Main, Penjual Siomay Ini Malah Menang Mahjong Ways 2 Rp127 Juta
Baru 15 Menit Main, Mahasiswa Ini Kaget Lihat Profit Mahjong Ways 2 Rp138 Juta Masuk Akun
22 Menit Turbo Bet Scatter Hitam Mahjong Ways 2, Cuan Fantastis Cair Setiap Hari
cara menang hari ini 2 pola rahasia mahjong ways yang bocorkan
mudah dan cepat pak ardi ungkap strategi raih cuan besar
pak agus buktikan bisa hasilkan ratusan juta dengan trik ini
pemain asal kaltim bikin heboh bikin kemenangan besar dengan cara ini
pola menggemaskan ini bikin member jackpot mahjong ways
rahasia player cirebon ini bikin cuan mengalir terus
rahasia terungkap begini strategi raih kemenangan emas
raih kemenangan dengan layanan kartu profesional terpercaya
spektakuler main dengan pola ini cuan seperti diterjang tornado
stop panik di tanggal tua begini cara mudah dapat kemenangan
5 kali cuan besar di hokiwin33 rahasia pola mahjong ways 2 bikin menang ratusan juta
bongkar kemenangan mahjong wins 3 di hokiwin33 ikuti trik ampuh melawan sistem bandar
bukti nyata player asal depok raup jutaan rupiah bermain starlight princess pakai trik ini
cuan emas sekali datang hokiwin33 hadirkan cara mudah menang mahjong ways 2
gates of olympus bikin pemain deg degan pola ini bawa kemenangan super sensational
hokiwin33 hadir starlight princess kini mudah hasilkan kemenangan super luar biasa
lepas landas di mahjong ways jackpot mudah dengan pola ini cukup modal kecil
miliaran rupiah dari gates of olympus pengusaha ini berhasil berkat pola ampuh hokiwin33
modal kecil kemenangan besar rahasia main sensational mahjong ways di hokiwin33
scatter hitam tiba pakai pola ini main mahjong wins 3 di hokiwin33 auto cuan
berkat trik dari kunjungan trump mahjong ways 2 gacorwin55 jadi mesin jackpot
buruh auto kaya gates of olympus di gacorwin55 banjir jackpot berkat trik rahasia ini
gacorwin55 jadi andalan member berhasil cuan gates of olympus dengan cara mudah ini
histeria besar 3 black scatter turun di mahjong wins 3 cek kronologinya di gacorwin55
jackpot mahjong ways player di gacorwin55 raup cuan melimpah dengan pola rahasia ini
jangan sampai kalah raih kemenangan starlight princess dengan trik cheat di gacorwin55
mudah banjir jackpot inilah pola mahjong ways penghasil kemenangan dahsyat
player asal jakarta raup ratusan juta mahjong ways 2 jadi kunci kemenangan tragis
scatter hitam berjatuhan bambang jadi viral setelah kuasai rahasia mahjong wins 3
terbukti pola starlight princess di gacorwin55 bawa member ini ke jackpot ratusan juta
Anak Kos di Malang Kaget Usai Raih Rp322 Juta dari 98,49% Hanya 20 Menit
Penjual Kue Keliling di Solo Raup Rp287 Juta
Sopir Truk Sampah di Semarang Jadi Sorotan Usai Raih Rp296 Juta
Rahasia Modal Rp77.000 Bisa Untung Rp118 Juta
Petani Asal Jawa Timur Main Sore Hari Raih Rp253.000.000 dari Manual
Pemula Heboh, Scatter Hadir Berulang Kali dan Bikin Semua Ketagihan
Malam Berkah, Arif Tukang Las Raih Rp395.000.000 dari 95,9% Bikin Kaya Mendadak
Mahasiswi Gajah Mada Heboh Setelah Raih Rp341 Juta dalam 2 Malam
Pedagang Gorengan Pinggir Jalan di Yogyakarta Heboh Raup Rp284 Juta
Makin di Akhir Bulan, Scatter Hitam Hadir Tiap Putaran dan Bawa Cuan Fantastis
Baru Coba 25-25-50, Banyak Pemain Langsung Raup Rp300 Juta Lebih
Dari Rp92.000 Menjadi Rp356.700.000, Cerita Montir Motor Palembang di 96,4%
Bocoran September Hari Ini Bikin Banyak Pemain Auto Raih Ratusan Juta
Baru Pertama Kali Coba, Nelayan Pantura Pulang Bawa Rp301 Juta dari x1000
Strategi Rahasia Pak Dedi Bisa Bawa Pulang Cuan Hanya dengan 30 Menit
Prediksi Hari Ini, Potensi x1000 Bisa Ubah Hidup 2025
Prediksi Strategi Malam Ini, Scatter Hitam Diprediksi Hujan Puluhan Juta
Modal Rp70.000 Jadi Rp115.300.000, Strategi Mahjong Ways 2 Terbukti
Malam Spektakuler, Fika Mahasiswi UGM Raup Rp372.500.000
Heboh! Driver Taxi Online Raih Rp118 Juta Main di Bawah 35 Menit
Di Tengah Sawah, Petani Padi Asal Sragen Dapat Pola Ajaib Mahjong Ways 2 dan Saldo Meledak Rp315 Juta
Fenomena Scatter Hitam Mahjong Ways 2 Bikin Heboh, Pemain Bersaksi Jackpot Deras Turun Tanpa Henti
Fenomena Baru, Scatter Hitam Mahjong Ways 2 Bikin Pemain Online Berhasil Gandakan Modal Kecil Jadi Maxwin
Geger! Pak Tono Tukang Becak Surabaya Raup Rp376.000.000 dari Scatter Hitam Starlight Princess x1000
Hanya 15 Menit Main, Pemain Joyslot88 Kaget Scatter Hitam Muncul 4 Kali di Mahjong Ways 2
Baru Login 20 Menit, Pemain Mahjong Wins 3 di Hokiwin33 WD Rp242.000.000 Tanpa Pola Ribet
Barista Kafe Hits di Surabaya Menang Mahjong Wins 3, Modal Receh Berbuah Rp147 Juta
Awalnya Hanya Iseng, Sopir Angkot Pulang dengan Cuan Besar Rp142 Juta dari Mahjong Ways
Berita PGSoft Terbaru, Mahjong Ways 2 Lagi Panas, Pemain Hokiwin33 Cairkan Rp248.000.000 Tengah Malam
Baru Pertama Main, Penjual Es Kelapa Makassar Raih Rp291.200.000 dari Gates of Olympus x1000
Awalnya Diremehkan, Tukang Laundry Ini Pulang Bawa Rp123 Juta dari Mahjong Ways 2
Bu Marni Penjual Sayur Pasar Gede Solo Maxwin Rp354.000.000 dari Gates of Olympus RTP Lagi Panas
Baru Saja Pensiun, Mantan Guru di Purwakarta Spin Mahjong Wins 3 Tak Disangka Rekeningnya Tembus Ratusan Juta
Bu Ratna Penjual Warung Kopi Surabaya Maxwin Rp312.000.000 dari Gates of Olympus x1000 Saat Malam Hari
Buruh Pabrik Plastik Heboh Usai Cuan Rp322 Juta dari Mahjong Wins 2 x100.000 Bermodal Uang Gajian Harian
Hoki Aneh Bu Nani Penjual Nasi Uduk Depok Catat Rp301 Juta Dari Gates Of Olympus x1000 Joyslot88
Hoki Deras Wulan Penjual Gorengan Bandung Kantongi Rp341 Juta Dari Starlight Princess Super Scatter Joyslot88
Malam Minggu Jadi Berkah, Pemain Joyslot88 Mahjong Ways Auto Profit Rp178 Juta Dalam 30 Menit
Modal Rp30 Ribu Mahasiswi Asal Jogja Langsung Dapat Rp134 Juta Dari Mahjong Ways 2 di Joyslot88
Penjual Ayam Goreng Pekalongan Spin Mahjong Ways 2 Uang Rp50 Ribu Berubah Jadi Rp280 Juta di Joyslot88
Pulang Dari Laut, Nelayan Bitung Main Mahjong Wins 3 di Joyslot88 Sekali Scatter Langsung Meledak Cuan
Samsul Tukang Jahit Bandung Pulang Dengan Rp279 Juta Dari Scatter Hitam Mahjong Wins 3 Joyslot88
Tukang Servis AC Keliling Raup Rp117 Juta Dari Mahjong Ways Joyslot88, Strategi Modal Merakyat Terbukti
Wow! Bagus Tukang Kayu Semarang Pulang Bawa Rp327 Juta Dari Scatter Hitam Mahjong Ways 2 Joyslot88
Turbo Bet Mahjong Ways 2 Viral Lagi di Joyslot88, Pemain WD Puluhan Juta Hanya 20 Menit
Awalnya Main Santai, Mahasiswa Kosan Deni Justru Raih Rp209.880.000 di Gacorwin55 Mahjong Ways 3
Dikira Buang Waktu, Pedagang Warteg Joko Malah Jadi Sultan Rp217.330.000 di Mahjong Ways Berkat Pola Gacorwin55
Kisah Peternak Kambing Desa Raup Rp196.500.000 Berkat Pola Gacorwin55 Mahjong Wins 3
Kuli Bangunan Pulang Senyum Lebar, Scatter x100000 Mahjong Wins 2 Antarkan Rp105.900.000 di Gacorwin55
Modal Receh Rp25 Ribu, Pedagang Cilok Pulang Bawa Rp746 Juta Dari Gacorwin55 Mahjong Wins 2 x100000
Modal Rp65.000, Penjual Martabak Anton Bawa Cuan Rp199.880.000 di Gacorwin55 Berkat RTP Tembus 98.66%
Modal Rp70.000, Penjual Soto Mamat Depok Tembus Jackpot Rp205.330.000 Dari Mahjong Ways Gacorwin55
Montir Jalanan Bisa Beli Motor Baru, Scatter Hitam Gacorwin55 di Mahjong Wins 3 Hasilkan Rp131.900.000
Penjual Es Kelapa Pinggir Jalan Raup Rp149.200.000 Dari Mahjong Wins 2 x100000 Pragmatic Gacorwin55
Supir Truk Antar Barang Munculkan Scatter Hitam, Mahjong Wins 3 Raih Rp176.500.000 Dengan Pola Simple Gacorwin55
Buruh Pabrik Sepatu Jadi Jutawan Dadakan Setelah Scatter Mahjong Ways 2 di Hokiwin33 Muncul 4 Kali
Cerita Inspiratif, Nelayan Cilacap Ubah Nasib Pulang Bawa Rp326.700.000 Setelah Coba Pola Mahjong Ways 2
Heboh! Petani Padi Karanganyar Raih Rp478.200.000 Dari Gates Of Olympus x1000, Sawah Sepetak Jadi Juragan Tanah
Ibu Muda Raih Rp315.400.000 Dari Hokiwin33 Mahjong Ways 2, Bisa Lunasi Hutang & Biayai Sekolah Anak
Kisah Penjual Nasi Pecel Menang Rp299.700.000 Dari Hokiwin33 Mahjong Wins 3, Kini Bisa Punya Warung Sendiri
Mahasiswa Kosan Kaget, Menang Mahjong Ways 2 Rp132 Juta Dalam 27 Menit di Hokiwin33
Mahasiswa Perantauan Jogja Spin Mahjong Wins 2 x100000, Sekali Scatter Masuk Rp189 Juta di Hokiwin33
Modal Receh Rp35.000, Bowo Main Mahjong Wins 3 Langsung WD Rp239.000.000 Malam Ini di Hokiwin33
Main Via QRIS di Mahjong Ways Hokiwin33, Pemain Spin Lancar Jackpot Besar Tinggal Tunggu Waktu
Mahasiswa UI Bermodal Rp55 Ribu Iseng Main, Raih Rp295.800.000 Dari Mahjong Ways, Bisa Biayai Kuliah Sendiri
atasi tekanan finansial dengan pola rahasia starlight princess raih keuntungan besar
belum pernah cuan ratusan juta coba pola ampuh main gates of olympus di joyslot88
cek caranya situs slot ini bikin kamu menang besar mahjong wins 3 setiap putaran
diabaikan dua kali player medan akhirnya menang besar mahjong ways dengan pola jitu
eks pria bandung raup puluhan juta begini trik ampuh menang mahjong ways 2
jangan sampai rungkat temukan pola ini dan raih kemenangan super di mahjong ways 2
joyslot88 hadirkan pola baru dapatkan kemenangan besar starlight princess dengan mudah
mahjong ways di joyslot88 cara mudah menang besar dan raup cuan berlipat
suhu gates of olympus jackpot berulang kali berkat pola gacor di joyslot88
trik tersembunyi begini cara mudah raih jackpot mahjong ways 2 di joyslot88
Gagal Panen Padi Petani Asal Jawa Tengah Justru Pantang Menyerah Main Mahjong Ways 2 dan Raih Rp158 Juta
Tak Butuh Waktu Lama, Karyawan Minimarket Bogor Kantongi Rp318.500.000 Bermain Starlight Princess X1000
Strategi Mahjong Ways 2 Terbaru Bikin Pemain Hokiwin33 Kaget, Cuan Rp689.000.000 Turun di Siang Bolong
Simak Rahasia Pola Spin Mahjong Ways 2 50-25-25, Pemain Pemula Langsung Tajir Melintir di Hokiwin33
Pemuda Banten Coba Mahjong Wins 3 Malam Ini, Scatter Hitam Nongol 8 Kali, WD Rp329.000.000 di Hokiwin33
Sopir Angkot Menang Rp278.900.000 dari Hokiwin33 Mahjong Ways 2, Kini Jadi Juragan Rental Mobil
Kisah Supir Truk Ekspedisi Jawa-Sumatra Spin Mahjong Wins 3, Sekali Scatter Masuk Rp182 Juta
Karyawan Toko Kelontong Pulang Bawa Rp278.600.000 dari Mahjong Ways 2, Kini Bisa Mulai Usaha Sembako Sendiri
Pemain Mahjong Ways 2 di Hokiwin33 Pecah Scatter Rp294.000.000 Hanya Dalam 15 Menit Malam Hari
Teknik Pola Santai Terbukti, Pemain Hokiwin33 Mahjong Wins 3 WD Rp229.000.000 dengan Modal Rp105.000
Dari Hidup Pas-pasan ke Jutawan, Semua Dimulai dari Scatter Mahjong Ways 2 Malam Hari
Supir Ojol Senyum Lebar Usai Menang Rp352.600.000 di Mahjong Ways PGSoft di Joyslot88
Rio, Buruh Harian Surabaya Pulang dengan Bawa Rp341.000.000 dari Scatter Hitam Starlight Princess
Tukang Becak Viral Setelah Kantongi Rp286.000.000 dari Mahjong Ways 2 dengan Pola Malam Hari
Tukang Ketoprak Viral Usai Kantongi Rp297 Juta dari Mahjong Ways 2 dengan RTP PG Soft 98.68%
Petani Padi di Klaten Mendadak Tajir, Cuan Rp335 Juta dari RTP Pragmatic 97.94% Malam Tadi
Pemilik Warung Kopi Hebohkan Sekitar, Profit Rp291 Juta dari Mahjong Ways 2 dengan RTP Tinggi
Pak Harun Pedagang Sayur Tangerang Pulang dengan Rp333.000.000 dari Scatter Hitam Olympus X1000
Mahjong Ways 2 Makin Mendominasi Dunia Slot Online di 2025, Scatter Hitam Jadi Andalan Pemain Raup Jackpot Fantastis
Lagi Jaga Warung Kopi, Pemuda Blitar Spin Mahjong Ways 2 dan Saldo ATM Mendadak Terisi Rp327 Juta
Jangan Dilewatkan Pola 21-21-21 di Mahjong Ways, Viral Pemain Auto Kaget Dapatkan Scatter Hitam
Karyawan Restoran Cepat Saji Tak Sangka Pulang Bawa Rp142 Juta dari Pola Mahjong Ways 2
Kuli Bangunan Harian Bermodal Rp70 Ribu Menang Rp425.600.000 dari Mahjong Ways, Hidup Berubah Total
Lagi Santai di Teras Rumah, Kakek Asal Jember Spin Mahjong Wins 3 dan Sekali Klik Hoki Rp299 Juta
Mahasiswi UI Asal Depok Kaget Lihat Saldo e-Wallet Masuk Rp132 Juta dari Mahjong Ways
Nelayan Pantai Losari Gegerkan Warga, Raih Rp275 Juta dari Mahjong Wins 3 Modal Kecil
Pak Dedi Tukang Ojek Bandung Kantongi Rp277.000.000 dari Scatter Hitam Mahjong Ways 2 Joyslot88
Pas Lagi Listrik Padam, Tukang Las di Banjarmasin Main Mahjong Wins 3, Scatter Hitam Nongol dan Cuan Deras
Pak Tarmizi Tukang Kebun Jogja Pulang dengan Rp293.000.000 dari Starlight Princess X1000 Joyslot88
Pak Slamet Montir Asal Jogja Jadi Jutawan Baru, Maxwin Rp319.000.000 dari PGSoft Mahjong Ways 2
Rahasia Modal Rp70.000 Bisa Jadi Rp118 Juta
Modal Rp70.000 Jadi Rp115 Juta, Ojol Ini Buktikan Panas
Kembali Menggebrak, Terus Bermunculan dan Hasilkan Besar yang Bikin Ketagihan
Heboh, Strategi Ubah Modal Rp70.000 Jadi Rp115.300.000
Heboh, Tebar Nonstop Hingga Bikin Semua Orang Penasaran
Bukti Nyata Rp115.300.000 dari Modal
Anak Warnet di Bandung Jadi Sorotan Usai Raup Rp268 Juta dalam Hanya 25 Menit
Rp118 Juta Kurang dari 35 Menit
Heboh, Rp118 Juta Hanya Dalam 35 Menit
Buruh Cuci Mobil di Surabaya Mendadak Kaya Setelah Tarik Rp289 Juta
Tukang Bakso Dorong Pinggir Jalan Raih Rp452.300.000, Hidup Berubah Jadi Raja Kuliner
Petani Cabai Raih Rp315.800.000, Kini Bisa Perluas Lahan Tanam
Penjual Sayur Raup Rp512.500.000, Transformasi Hidup Jadi Agen Sembako Terbesar
Penjual Martabak di Bandung Raih Rp388.200.000, Kini Bisa Buka Cabang Baru
Manual 30-09-25 Bikin Heboh 1 Indonesia, Jakarta di Rp236.000.000
Rahasia Bisa Kaya Tanpa Harus Lama
Pensiunan Karyawan Pabrik Asal Tangerang Raih Rp128 Juta Sekali Main
Simak Strategi Auto 33x, Bikin Kaya WD Rp251.000.000 Pagi Ini
Sopir Bajaj di Kemayoran Heboh, Raih Rp326 Juta Bermodal Rp69 Ribu
Jam 01:20 Cairkan Rp276.000.000 Sekali Main
Anak Magang di Kantor Main, Pulang Bawa Rp728 Juta dari Play
Viral Hari Ini, X100000 Buat Penjual Cilor Bawa Pulang Rp271.000.000 Bermodal Rp80.000
Tukang Parkir Malam di Bandung X1000, Modal Rp52 Ribu Bisa Bawa Pulang Rp132 Juta
Teknik Turbo 41x Hasilkan Rp276.000.000 Dalam 25 Menit
Supir Bajaj di Jakarta Berhasil Ubah Nasib dari Modal Rp97 Ribu Jadi Rp154 Juta
Dari Warung Angkringan ke Rp309 Juta, Cerita Anak Rantau Main
Dari Sawah ke Kota, Petani Desa Raup Rp164.300.000 Berkat Main
Bermodal Rp39.000, Mahasiswa Surabaya Raih Rp228.000.000 Dalam Sekejap
Dari Rp50 Ribu Jadi Rp31 Juta, Anak Kos Jogja Heboh Main X1000
Baru Pertama Coba, Sopir Truk Antar Provinsi Langsung Raih Rp308 Juta
7 trik jitu mahjong wins 2 hokiwin33 cara mudah naikkan kemenangan jadi cuan
begini cara mudah raup ratusan juta saat main starlight princess cek sekarang
cara ampuh pasang pola kemenangan mahjong wins 3 agar langsung dapat untung besar
cara main starlight princess modal receh auto cuan besar dengan mudah di hokiwin33
diklaim paling kuat pola mahjong ways ciptakan kemenangan spektakuler di hokiwin33
player terkesima layanan 24 jam hokiwin33 pola jitu gates of olympus bikin cuan mengalir
pola jackpot gates of olympus terbaru cara mudah hasilkan menang besar
rekomendasi jackpot mahjong ways cara mudah raih cuan besar setiap hari
trik gacor mahjong ways cara mudah hasilkan jackpot besar dengan strategi terbukti
turun scatter hitam di mahjong wins 3 satu langkah menuju jackpot besar
adegan dewasa bermain game kasino online ini tips sederhana dari para suhu untuk hasilkan maxwin gila hingga ratusan juta di gates of gatotkaca
bukan cuma isapan jempol 2 kebiasaan ini jadi kunci jackpot di mahjong wins 3
heboh soal raka sukses tampil sebagai juragan muda tajir melintir gara gara gates of olympus
ketahanan hebat mahjong ways jadi incaran player untuk dapatkan maxwin puluhan kali
kisah andi raup cuan besar gates of olympus berkat pola rahasia ini wajib dicoba sekarang
kisah nyata madan raup cuan rp52 juta dari starlight princess begini trik rahasianya
kunci sukses mahjong wins 3 main di gacorwin55 bisa bawa pulang ratusan juta
pria asal bandung bikin heboh main starlight princess langsung dapat jackpot ratusan juta
resmi terbongkar pola rahasia bikin player raup puluhan juta dari mahjong ways 2
trik ajaib pemain gacorwin55 jackpot mahjong ways muncul terus bawa pulang rp680 juta
10 kebiasaan keuangan bikin bertambah terus atasi dengan bermain starlight princess
belasan tahun terungkap pola rahasia mahjong ways di hokiwin33 bikin cuan melimpah
cuaca ekstrem deposit cuan receh dan raih jackpot gates of olympus di hokiwin33
fadil ungkap pola jitus spiritual jackpot mahjong ways 2 di hokiwin33 jadi mudah
kesepakatan pola ini bawa kemenangan besar mahjong ways cek selengkapnya di sini
ledakan dasyat starlight princess modal kecil raup puluhan juta dengan trik ini
ledakan petir gates of olympus bikin hp terbang pola cheat ampuh raup miliaran
petugas parkir jambi raup jutaan main mahjong wins 3 modal 25rb di hokiwin33
player asal garut raup puluhan juta hanya beberapa jam bermain mahjong wins 3
viral pria seragen diserang bertubi tubi saat main mahjong ways 2 di hokiwin33
andi tukang odong odong hebohkan kampung gunakan pola rahasia bandar starlight princess
budi tukang foto keliling pakai trik para siber bandar kasino online untuk hajar scatter starlight princess
darto penjual balon gas di alun alun raup rp305 juta dari mahjong ways berkat pola rahasia bandar
jono tukang becak hias jackpot rp295 juta dari gates of olympus berkat pola cheat lawan bandar
lilis penjual mainan tradisional diam diam gunakan trik siber bandar kasino online untuk menang besar mahjong ways
meli penjual cilok keliling bongkar cara rahasia ini hingga jackpot rp329 juta dari gates of olympus
mira penjual kopi tubruk tembus scatter hitam starlight princess di winslot118 dengan cara rahasia
pak gino penjual batu akik jadi jutawan baru setelah gunakan pola cheat lawan bandar mahjong wins 3
rara pedagang kaset jadul kejutkan semua orang raup rp278 juta dari gates of olympus dengan cara rahasia ini
rendi penjual burung kicau bikin geger maxwin mahjong wins 2 berkat pola rahasia bandar
Buruh Tani di Banyumas Dapat Rezeki Dadakan Gates of Olympus X1000 Kasih Hadiah Rp144 Juta
Buruh Serabutan di Bekasi Tajir Melintir Mahjong Wins 3 Pola Turbo Cairkan Rp195 Juta Sekaligus
Penjual Es Degan di Surabaya Heboh Mahjong Wins 3 Hadiah Cuan Rp165 Juta Cuma dari Modal Rp70 Ribu
Penjual Roti Bakar Menang Rp498.700.000 dari Mahjong Ways 2 Kini Bisa Buka Rumah Makan Kekinian
Peternak Ayam Kampung Raih Rp478.500.000 dari Pola Oktober Kini Bisa Bangun Lebih Banyak Kandang
Pedagang Bakso Keliling di Malang Mendadak Kaya Mahjong Ways Beri Cuan Rp152 Juta Cuma Modal Kuota 5GB
Pak Rudi Tukang Becak Surabaya Bikin Iri Scatter Hitam Mahjong Ways Ledakkan Rp337.000.000 Sekejap
Main Tengah Malam Pedagang Angkringan Asal Jogja Langsung Kaya Setelah Cuan Rp139 Juta
Kisah Buruh Bangunan Gunakan Pola Bulan Oktober Langsung Raih Ratusan Juta Saat Sore Hari
Karyawan Fotokopi Menang Rp350.900.000 dari Modal Receh Kini Bisa Buka Usaha Percetakan Sendiri
Buruh Pelabuhan Viral Raup Rp281 Juta dari Mahjong Wins 3 Hanya dalam 25 Menit Bermain
Cerita Buruh Pabrik Pulang Kerja Malah Menang Besar Rp341.700.000 dari Mahjong Ways 2
Heboh di Kampung Tukang Sate Keliling Bisa Bayar Utang Rp120 Juta Berkat Scatter Mahjong Ways 2
Hidup Berubah Drastis Buruh Harian di Karawang Menang Rp210.000.000 dari Mahjong Wins 3
Penjual Mie Ayam di Bogor Jadi Sorotan Usai Raih Rp317 Juta Kini Buka Cabang Baru dari RTP PGSoft Live 96,76%
Penjual Sate Legendaris Viral Raup Rp263.000.000 dari Mahjong Ways dengan Bantuan RTP PGSoft 98,73%
Ribuan Pemain Online Puas dengan Hujan Deras Scatter yang Turun Tanpa Henti
Trik Rahasia Para Pemain Pro Mahjong Ways Punya Pola Baru yang Lagi Panas Malam Ini
Tukang Sapu Jalanan di Surabaya Heboh Raih Rp293 Juta dari RTP PGSoft 98,29% Malam Ini
Tukang Cendol di Bandung Heboh Raih Rp318 Juta dari RTP PGSoft 98,27% Siang Ini
Awalnya Hanya Main Biar Ngantuk Hilang, Montir Motor Ujang Malah Menang Rp225.700.000 di PGSoft Mahjong Ways
Dari Warung Kopi ke Expansi Bisnis, Barista Bowo Bawa Pulang Rp203.770.000 dari Mahjong Ways 2 Akhir Bulan
Baru 10 Menit Spin, Nelayan Kampung Laut Kaget Cuan Rp30 Juta dari Gates of Olympus x1000 dengan Modal Rp50 Ribu
Pulang Kerja Malam, Karyawan Pabrik Rian Langsung Sabet Rp189.660.000 dari Gacorwin55 Mahjong Ways
Heboh! Pedagang Cilok Asal Bandung Menang Starlight Princess x1000 Rp145 Juta Sekali Putar
Dulu Jadi Buruh Harian, Kini Bisa Renovasi Rumah Berkat Pola Scatter Gacorwin55 Mahjong Ways 2
Jangan Lewatkan Pola 7-7-7 di Mahjong Wins 3 Gacorwin55, Bikin Pemain Baru Pecah Jackpot Rp228.000.000
Pensiunan Guru Dapat Kejutan Rp247.000.000 dari Mahjong Wins 3 di Gacorwin55, Sekarang Bisa Buka Usaha
Sopir Ojol Main Mahjong Ways PGSoft di Gacorwin55 Sambil Nunggu Orderan Malah Profit Rp223.000.000
Pola Turbo 50x 13x Manual Spin Mahjong Ways Gacorwin55 Bikin Tukang Ojek Pekanbaru Raih Rp283.000.000
Auto Spin 40x Terbukti Mantap, Pemain Mahjong Ways 2 WD Rp263.000.000 Malam Ini
Tukang Bakso Dorong di Jakarta Heboh Usai Jackpot Rp326 Juta dari RTP PGSoft 97,39% Sampai Buka Cabang Baru
Tukang Sayur Keliling di Bekasi Heboh Jackpot Rp311 Juta dari RTP PGSoft Tembus 98,2% Siang Ini
Tukang Ojek Online di Jakarta Mendadak Viral Usai Jackpot Rp309 Juta dari RTP PGSoft 98,2%
Sopir Travel di Semarang Viral Usai Raih Rp329 Juta dari Pragmatic Play Mahjong Wins 3 Scatter Hitam
Pola Spin Cepat Mahjong Ways 2 Katanya Ampuh, Banyak Pemain Sudah Buktikan Langsung
Pola 7-7-21 Lagi Menyala, Pemain Winslot118 Mahjong Ways 2 WD Rp247.000.000 dengan Modal Tipis
Penjual Roti Bakar di Tanggerang Heboh Menang Rp319 Juta dari RTP PGSoft 97,96% Malam Ini
Penjual Kopi Pinggir Jalan di Makassar Jadi Sorotan Usai Jackpot Rp298 Juta dari RTP PGSoft Live Mencapai 97,95%
Pedagang Sate di Madura Mendadak Sultan Setelah Jackpot Rp307 Juta dari Mahjong Wins 3 Black Scatter
Pedagang Martabak di Cirebon Heboh Kantongi Rp327 Juta dari Mahjong Wins 3 Scatter Hitam
Main Mahjong Ways Kini Bisa dengan QRIS, Pemain Kaget Scatter Turun Deras Bikin Jackpot Meledak
Mahasiswa Semester Akhir di Surabaya Heboh Kantongi Rp276 Juta dari Mahjong Wins 3 Pragmatic dalam 20 Menit
Cuma Modal Rp40 Ribu, Buruh Harian Mendadak Tajir Rp321 Juta di Gates of Olympus x1000
Cerita Inspiratif! Buruh Pabrik Rokok Kudus Menang Rp286.500.000 Bermain Mahjong Ways 2 Winslot118
Cerita Heboh! Tukang Pecel Lele Raup Rp275 Juta dari Strategi Mahjong Wins 3 Provider Pragmatic Play
Buruh Harian Lepas di Surabaya Mendadak Kaya Setelah Tarik Rp284 Juta dari RTP Pragmatic 97,8% Gates of Olympus
Breaking News! Tukang Becak Surabaya Pulang Bawa Rp329.700.000 Setelah Main Mahjong Ways 2 Winslot118
Baru Duduk 15 Menit, Tukang Parkir Kantongi Rp309 Juta dari Gates of Olympus Super Scatter
Awalnya Cuma Iseng, Penjual Es Teh Jogja Kantongi Rp304.800.000 dari Mahjong Ways Winslot118
Akhir Bulan di Mahjong Ways 2 Gacorwin55 Hasilkan Rp246.000.000 Setelah Wild 1 Layar 15 Kali dengan Spin Turbo
Tukang Sayur Pasar Senen Mendadak Tajir, Starlight Princess Xmas Bikin Uang Rp163 Juta Masuk Rekening
Tengah Malam di Kosan, Mahasiswa UI Main Mahjong Ways 2 Gacorwin55 WD Rp254.000.000 Tanpa Pola Ribet
Tengah Malam di Gacorwin55, Pemain Pontianak Pecah Scatter Mahjong Wins 3 Rp318.000.000
Teknik Pola 13-7-5 Bikin Cuan Berlimpah, Pemain Mahjong Wins 2 WD Rp235.000.000 Subuh Jam 04:20
Supir Truk Ekspedisi di Surabaya Auto Kaya, Scatter x1000 Gates of Olympus Banjir Uang Rp191 Juta Sekali Putar
Penjual Nasi Uduk di Jakarta Utara Heboh, Scatter Hitam Mahjong Wins 3 Cairkan Rp187.400.000
Ojol Nunggu Orderan Malah Jackpot Rp935 Juta dari Scatter Hitam Mahjong Wins 3
Dari Warung Kecil ke Rumah Baru, Penjual Kopi Raup Rp418.500.000 Lewat Mahjong Wins 3
Bermodal Receh Rp50.000, Penjual Es Dawet Raup Rp402.300.000 dari Mahjong Wins 3 Scatter Hitam
Dari Buruh Pabrik Jadi Crazy Rich, Pemain Mahjong Wins 3 Bawa Pulang Rp200 Juta dengan Mudah
Jadi Primadona Sepanjang 2025, Scatter Ini Selalu Hadir dan Buat Pemain Ketagihan Berulang Kali
Main Pakai QRIS, Pemain Awam Kaget Bisa Raih Kemenangan Besar Hanya dalam Beberapa Putaran
Nelayan Pantai Utara di Indramayu Heboh, Mendadak Raih Rp328 Juta dari RTP Provider Pragmatic 98,22%
Scatter Hitam Mahjong Ways 2 Jadi Senjata Rahasia, Pemula hingga Profesional Sama-Sama Sukses Raup Maxwin
Pemain Online Soroti, Scatter Hitam Jadi Senjata Rahasia Baru untuk Raup Cuan Fantastis dengan Cepat
Pedagang Durian Mendadak Kaya Usai Raih Rp319 Juta dari Mahjong Wins 2 Pola Scatter x100000
Pedagang Kopi Pinggir Berhasil Buka Cabang, Jackpot Rp299 Juta dari Mahjong Wins 3 Scatter Malam
Pemuda Pontianak yang Baru Putus Cinta Cari Hiburan Malah Menang Mahjong Ways 2 dengan Transferan Rp320 Juta
Penjual Bubur Kacang Hijau di Semarang Viral Usai Menang Rp271 Juta dari Mahjong Wins 3 dalam 20 Menit
Anak SMA Asal Solo Viral, Racik Pola Sakti di Bulan Oktober Rauh Puluhan Juta Hanya dalam 1 Jam
Bu Dwi, Ibu Rumah Tangga Asal Bali Raup Rp289.000.000, Tetangga Sampai Ikut Kaget
Tukang Jahit Keliling Kantongi Rp310.500.000 dari Pragmatic Play Hokiwin33, Kini Buka Konveksi Kecil di Rumahnya
Penjual Batik Laweyan Viral, Profit Rp288 Juta dari Mahjong Wins 3 Hanya dalam Waktu 29 Menit
Pemuda Aceh Main di Situs Terpercaya, Modal Receh Langsung Jadi Rp765.000.000 dalam Sekejap
Pola Bulan Oktober 40-20-40, Pemain Langsung Dapatkan Rp248.500.000 Tanpa Susah Payah
Terbaru! Main Mahjong Ways Pakai QRIS, Pemain Receh Langsung Rasakan Hujan Scatter di Hokiwin33
Terkuak! Ternyata Main via QRIS di Mahjong Ways Hokiwin33 Jadi Jalan Pintas Pemain Raih Jackpot Fantastis
Tukang Becak di Solo Raih Kemenangan Besar Rp327.800.000 dari Strategi Bulan Oktober, Kini Bisa Beli Rumah Sendiri
Fakta Mengejutkan! Seno, Buruh Bangunan Medan Raup Rp356.000.000 dari Pola Oktober 20-10
auto jackpot begini cara bonus jadi sumber kemenangan di starlight princess
cairkan kreditmu dengan pola jitu mahjong ways 2 modal standard bisa cuan melimpah
cuma modal 20 ribu trik rahasia ini bikin jackpot mahjong ways tuntas dalam 3 menit
dedi tercengang pola rahasia starlight princess1000 di joyslot88 bikin banjir cuan
jangan lewatkan pola jitu gates of olympus1000 di joyslot88 bikin cuan super megah
ledakan cuan beruntun mahjong ways 2 di joyslot88 banjir kemenangan besar
main mahjong wins 3 modal receh bisa banjir jackpot besar dengan strategi ini
masih rahasia trik mahjong wins 3 di joyslot88 ternyata bisa bikin jackpot
mimpi punya rumah terwujud pola gates of olympus ini bikin cuan mengalir deras
tak dapat menang selama bermain mahjong ways pratam coba pola ini dan raup rp150 juta
2 trik raup kemenangan maksimal dan free spin untuk jackpot besar
bongkar rahasia pola jitu dari admin
lusi hanya bermodal 25 ribu tembus puluhan juta
mahasiswa asal bandung raup rp47 juta rahasia terbongkar
modal 20 ribu aldi pulang bawa 98 juta
pola baru winslot118 yang bikin feri panen
pola bikin modal receh asep melesat jadi 93 juta
riski asal bandung hasilkan rp6 juta perhari
tak disangka uang receh kantong celana jadi jackpot 156 juta
viral di media semua ikut main mudah hanya dengan trik admin
diam diam bikin kaya begini cara player raup cuan saat main starlight princess
kunci kemenangan sensational mahjong ways 2 strategi ampuh raup puluhan juta
metode dewa gates of olympus rahasia baru yang memunculkan jackpot tanpa henti
munculnya scatter emas mahjong ways 2 jadi mudah coba pakai trik rahasia ini
raih cuan maksimal dengan taktik kilat jackpot starlight princess di jam gacor
rincian lengkap alat mahjong ways 1 scatter hitam yang wajib diketahui pemain
strategi epik menang mahjong ways 1 hari ini modal kecil bisa jadi cuan besar
terbongkar resep super kemenangan scatter hitam mahjong wins 3 di gacorwin55
trik gacor mahjong wins 3 yang bisa hasilkan cuan besar panduan lengkapnya ada di sini
waktunya bermain gates of olympus sekarang juga dan raih jackpot besar tanpa ribet
3 cara yang bawa siapapun raih fantastis hingga rp 450 juta
banyak orang tidak tahu pemain asal bandung ini raup 258 juta
emas muncul dan hasilkan cuan puluhan juta dalam waktu 9 menit
hanya 10 menit bermain guntur pria asal gorontalo panen cuan puluhan juta
kisah yang sudah beredar agun raih kemenangan besar hingga rp 394
rahasia jitu untung besar semua pemain semakin mudah dapat kemenangan besar
simak tips yang menguntungkan ini bisa bawa kemenangan hingga rp 150 juta
sudah 43 player raup rp 120 juta dengan gampang banget
sudah bertahun tahun menang besar ridho bagikan cara dapat jackpot besar
tips terbaru pola mahjong wins 2 mengantongi jackpot besar
ibnu ungkap pola rahasia menang super besar mahjong wins 3 di joyslot88
ikuti trik jebolan jackpot raih menang super luar biasa starlight princess
mau dapat rp150 juta dengan mudah di mahjong wins 3 begini trik ampuhnya
player asal sumatra berhasil amankan kemenangan fantastis di gates of olympus
pola asuh ini bikin bandar lembek jackpot mahjong wins 2 mudah didapat di joyslot88
pola jitu mahjong ways cara mudah hasilkan cuan melimpah setiap kali bermain
raih kemenangan besarmu di joyslot88 gunakan pola ampuh jackpot gates of olympus
richard ngaku raup miliaran hanya 1 jam jackpot mahjong ways dengan pola ini
super sensational mahjong ways 2 trik joyslot88 bikin cuan berlipat ganda
trik cheat ini ingatkan member hasilkan cuan gampang main starlight princess
angkut 11000000 menggunakan jitu ini dengan mudah
anton raih kemenangan rp 125000000 dengan mudah
bitcoin tembus rekor tertinggi sepanjang masa
bukan susah ramlan mantan kuli bangunan raih rp 152000000
dengan menggunakan pola jitu ini radit berhasil raup jackpot mahjong ways
gokil pekerja batu bara arifin raih kemenangan rp 235000000
kesempatan menang besar kembali lagi pemain menggunakan trik ini semakin gampang
pemain asal gersik berhasil raih jackpot scatter hitam
segampang itu raih kemenangan mahjong ways 2 di winslot118
viral reyhan asal medan raih rp 145000000 lewat mahjong wins 3
Andi Tukang Cukur Rambut Bekasi Profit Rp314.000.000 dari Scatter Hitam Gates Of Olympus Pragmatic
Andri Driver Ojol Bekasi Pulang dengan Rp326.000.000 dari Gates Of Olympus RTP Stabil Bikin Heboh
Buruh Pabrik Garmen di Bandung Menang Besar Mahjong Wins 3 Hadiahkan Rp147 Juta Cuma dari Pola Oktober
Bu Yani Penjual Nasi Uduk Jakarta Raup Rp287.000.000 dari Mahjong Ways 2 Modal Receh Berbuah Manis
Bu Yuli Penjual Pecel Lele Surabaya Maxwin Rp325.000.000 dari Starlight Princess x1000 Malam Jumat
Ibu Penjual Pecel Lele di Bekasi Heboh Mahjong Wins 3 Scatter Polosan Berbuah Rp159 Juta Awal Bulan
Niat Main Iseng Buruh Pabrik Malah Dapat Rp75 Juta dalam Semalam di Mahjong Ways 2
Office Boy di Kantor Jakarta Pusat Jadi Kaya Mahjong Ways Beri Rp191 Juta Langsung Masuk ATM
Pak Slamet Tukang Becak Jogja Kaget Scatter Hitam Gates Of Olympus Kasih Rp329.000.000 dalam Hitungan Menit
Pedagang Coto di Makassar Langsung Buka Cabang Mahjong Ways Scatter 5x Berturut-turut Cairkan Rp162 Juta
Pedagang Soto di Semarang Auto Full Senyum Mahjong Ways Scatter 7x Berturut-turut Cairkan Rp162 Juta
Pemuda Bekasi Bawa Pulang Rp102.773.420 Berkat Pola Simple di Mahjong Ways 2 Joyslot88
Penjaga Parkir Alun-alun Heboh Usai Raih Rp299 Juta dari Mahjong Ways 2 Malam Hari
Penjual Durian Ucok Heboh Profit Rp325 Juta dari Mahjong Ways 2 Berkat Pola Scatter Bertubi
Penjual Soto Ayam di Makassar Menang Rp287 Juta dari Mahjong Wins 3 Hanya dalam 20 Menit Bermain
Rezeki Nomplok Doni Penjual Ayam Geprek Medan Menang Rp355.000.000 dari Pragmatic Mahjong Wins 3
Spin Malam Jumat Penjaga Warnet Ini Mendadak Jadi Jutawan Setelah Mahjong Ways 2 Beri Rp147 Juta
Update Permainan Mahjong Ways Lebih Ramah Mudah Scatter & Connect Wild untuk Pemula di Awal Bulan
Tukang Bakso Keliling Heboh Usai Raih Rp312 Juta dari Mahjong Ways 2 Bermodal Uang Receh Tengah Malam
Tak Pernah Terbayangkan Buruh Harian Bekasi Pulang Bawa Rp127.300.000 dari Receh Rp85.000 Berkat RTP PGSoft 97.77%
Buruh Harian Lepas di Tangerang Auto Kaya Mahjong Ways Sekali Spin Cairkan Rp188 Juta Tanpa Pikir Panjang
Tukang Cukur di Bekasi Spin Mahjong Ways Sekali Maxwin Masuk Rp152 Juta ke Rekening BRI
Supir Truk Malam di Lampung Mendadak Viral Mahjong Wins 3 Bawa Pulang Rp174 Juta Sekali Scatter
Spin Sore di Mahjong Ways Winslot118 Satpam Malam Mall Bandung Berhasil Maxwin dari Scatter Hitam
Sopir Truk di Karawang Raih Rp187.400.000 Setelah Main Mahjong Wins Tengah Malam di Winslot118
Sopir Angkot di Bandung Mendadak Tajir Rp174.600.000 Setelah RTP PGSoft Winslot118 Gacor
Rahasia Spin Tengah Malam di Mahjong Ways Winslot118 Bikin Buruh Harian Surabaya Kaget Scatter Hitam Turun Terus
Rahasia Pola Hoki Mahjong Ways 2 Wisnlot118 Bocor Pemain Solo Menang Rp129 Juta
Pramusaji Cafe di Bandung Hebohkan Pengunjung Mahjong Ways Modal 30 Ribu Meledak Jadi Rp172 Juta
Petani Singkong di Wonogiri Tak Sangka Modal 25 Ribu Jadi Rp87.200.000 dari Mahjong Ways Winslot118
Penjual Bakso Malang di Jakarta Pusat Mendadak Kaya Saldo Tembus Rp121.600.000 dari Mahjong Ways
Pemuda Bandung Dapet Scatter Hitam 4 Kali di Mahjong Ways 2 WD Rp175 Juta Sekaligus
Nelayan Ujung Kulon Raih Rp185 Juta Mahjong Ways Jadi Penyelamat Ekonomi di Tengah Cuaca Buruk
Main Tengah Malam Pemuda Semarang Menang Rp223 Juta dari Mahjong Ways Winslot118
Main Mahjong Wins 3 Pake Pola Subuh Pemain Bogor Auto WD Rp212 Juta di Winslot118
Mahasiswa Kos di Surabaya Auto Viral Mahjong Wins 3 Scatter Hitam Cairkan Rp144 Juta Sekali Duduk
Kuli Tani di Cilacap Raup Rp179 Juta Mahjong Ways Jadi Rejeki Tengah Malam di Sawah Sepi
Karyawan Shift Malam di Tangerang Pulang Bawa Rp176.900.000 Berkat RTP PGSoft Tinggi
Ibu Penjual Warteg di Jakarta Utara Heboh Mahjong Wins 3 Hadiahkan Rp161 Juta dari Modal Kecil
Heboh Pola Pemula Mahjong Wins 3 Bikin Mahasiswa Jakarta WD Rp97 Juta Pertama
Exit mobile version